[Ortho] Ложный сустав костей предплечья

Abdurashid orthoforum на weborto.net
Ср Сен 5 22:08:13 YEKST 2012


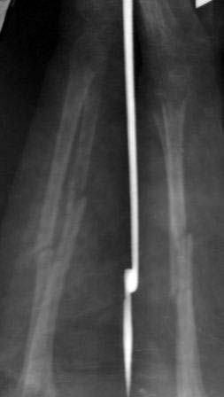
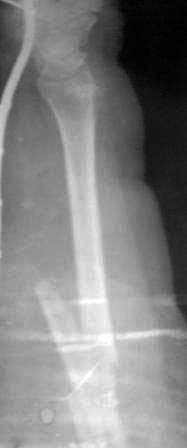
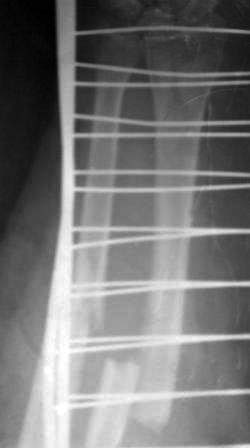
Пациентка 49 лет, по поводу перелома обеих костей предплечья оперирована в марте месяце « и/м остеосинтез спицами», через 4 месяца спицы удалены , антибиотикотерапия и фиксация гипсовой повязкой продолжена, но, учитывая что образуются ложный сустав, госпитализирована.

Повторно открывать зону перелома никак не хочется, учитывая р-картину! А что если закрыто рассверливать к/м канал ( как при БИОС), и КДО аппаратом Илизарова?
Уважаемые коллеги помогите советом! Извиняюсь за плохое качество р-снимков!

Abdurashid
----------- УМЕДХЭБС ЮБУФШ -----------
Вложение в формате HTML было извлечено…
URL: http://weborto.net:8080/pipermail/ortho/attachments/20120905/f34b89d9/attachment-0001.htm 
----------- УМЕДХЭБС ЮБУФШ -----------
Вложение не в текстовом формате было извлечено…
Имя     : 2012-09-04-371 - ЛПРЙС.jpg
Тип     : image/jpg
Размер  : 19652 байтов
Описание: отсутствует
Url     : http://weborto.net:8080/pipermail/ortho/attachments/20120905/f34b89d9/attachment-0005.jpg 
----------- УМЕДХЭБС ЮБУФШ -----------
Вложение не в текстовом формате было извлечено…
Имя     : 2012-09-04-370 - ЛПРЙС.jpg
Тип     : image/jpg
Размер  : 25232 байтов
Описание: отсутствует
Url     : http://weborto.net:8080/pipermail/ortho/attachments/20120905/f34b89d9/attachment-0006.jpg 
----------- УМЕДХЭБС ЮБУФШ -----------
Вложение не в текстовом формате было извлечено…
Имя     : 2012-09-04-373 - ЛПРЙС.jpg
Тип     : image/jpg
Размер  : 18176 байтов
Описание: отсутствует
Url     : http://weborto.net:8080/pipermail/ortho/attachments/20120905/f34b89d9/attachment-0007.jpg 
----------- УМЕДХЭБС ЮБУФШ -----------
Вложение не в текстовом формате было извлечено…
Имя     : 2012-09-04-372 - ЛПРЙС.jpg
Тип     : image/jpg
Размер  : 21483 байтов
Описание: отсутствует
Url     : http://weborto.net:8080/pipermail/ortho/attachments/20120905/f34b89d9/attachment-0008.jpg 
----------- УМЕДХЭБС ЮБУФШ -----------
Вложение не в текстовом формате было извлечено…
Имя     : 2012-09-04-375 - ЛПРЙС.jpg
Тип     : image/jpg
Размер  : 23202 байтов
Описание: отсутствует
Url     : http://weborto.net:8080/pipermail/ortho/attachments/20120905/f34b89d9/attachment-0009.jpg 


Подробная информация о списке рассылки Ortho