[Ortho] Застарелое повреждение таза

Evgueny Tchekashkine evgueny на iway.na
Пт Сен 7 00:16:55 YEKST 2012


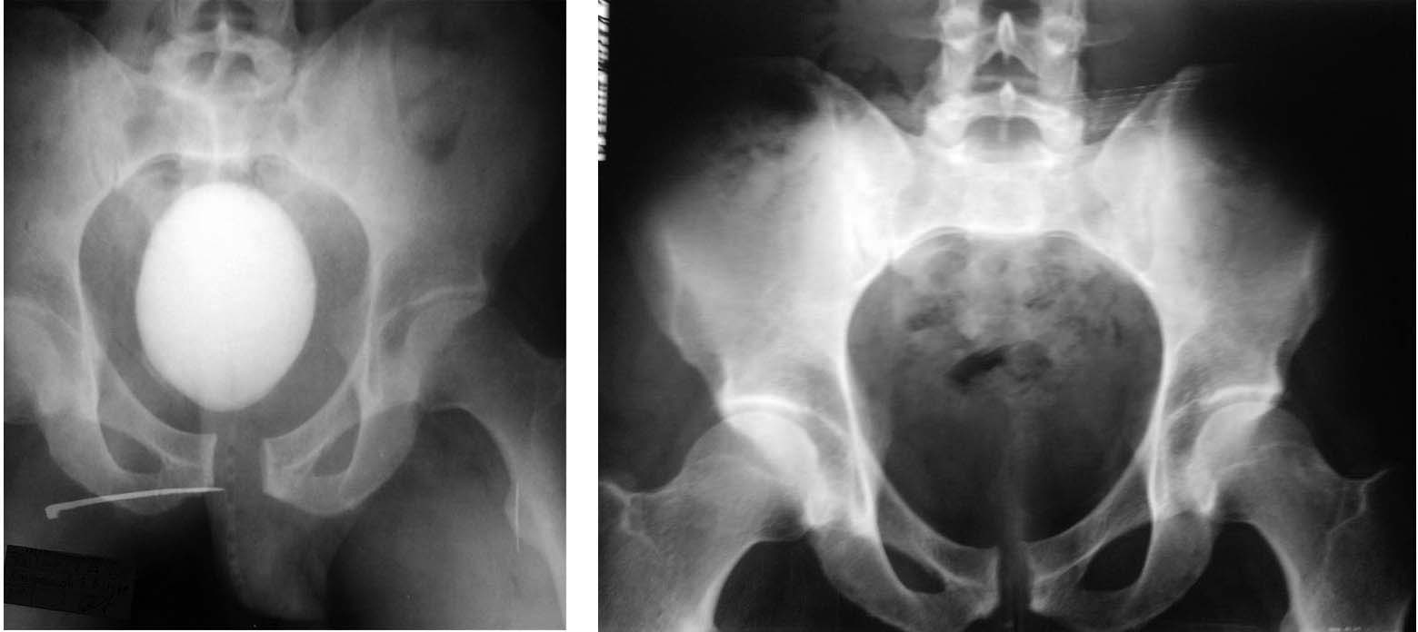
Po predstavlennim snimkam  ne vidno povrezhdeniya SI joint, skoree transforaminal perelom krestsa. Esli sohranyaetsa rotationnaya nestabilnost - sraschenya ne proizoshlo i tolko perednyaya stabilizatsiya  budet bezuspeshnoi - plastina slomaetsa. Neobhodima kombinirovannaya stabilizatsia zadnego i perednego otdelov. No odnaznachnih vivodov po predstavlennim snimkam nelzya - CT taza neobhodimo.

Uspehov,
Evgueny Tchekashkine
  ----- Original Message ----- 
  From: "Дружинин М.П." 
  To: alex на weborto.net 
  Sent: Thursday, September 06, 2012 5:43 AM
  Subject: [Ortho] Застарелое повреждение таза


  Уважаемые коллеги! Доброго времени суток!Прошу поделиться мнением по такой ситуации. Пациент 35 лет, альпинист, мастер спорта, получил травму 27 мая 2012 года. 

  Уронил на себя камень (как говорят альпинисты, «вытащил чемодан»), получил ротационно-нестабильное повреждение таза – разрыв лонного и частично левого крестцово-подвздошного сочленения, внебрюшинный разрыв мочевого пузыря. Лечился в районной больнице (ближайшей к месту получения травмы) – цистостомия, повреждение таза лечилось консервативно (сначала находился в гамаке), примерно с 4 недели начал активизироваться. В настоящее время ходит без средств опоры, испытывает боли в области левого крестцово-подвздошного сочленения при нагрузке (при нагрузке под рюкзаком, например; без нагрузки, т.е. в обычной жизни, чувствует себя неплохо, болей практически нет), в августе мы вместе с ним прошли альпсборы в горах Киргизии, в общем-то восхождения 2-5 категории он выполнял, но видно, что нелегко, походка изменена (что-то наподобие утиной), сам он отмечает улучшение с тех пор как он начал вставать после травмы, клинически определяется ротационная подвижность левой половины таза в пределах 1-1.5 см, пока не может заниматься своей профессиональной деятельностью (промышленный альпинист), так как не может сидеть в беседке. Цистостома полностью зажила.

  Прошу разрешить следующие вопросы:
  1. Показана ли стабилизация таза в данной ситуации, или имеет смысл подождать еще какое-то время?
  2. Если показана, то достаточно ли выполнить стабилизацию только лонного сочленения или необходима стабилизация и лонного и КП-сочленения, а также сроки выполнения данной операции?

  Заранее благодарен, Дружинин М.П., ГКБ№1, г.Челябинск



------------------------------------------------------------------------------


  _______________________________________________
  Ortho mailing list
  Ortho на weborto.net
  http://weborto.net:8080/mailman/listinfo/ortho
----------- УМЕДХЭБС ЮБУФШ -----------
Вложение в формате HTML было извлечено…
URL: http://weborto.net:8080/pipermail/ortho/attachments/20120906/b40674b4/attachment-0001.htm 
----------- УМЕДХЭБС ЮБУФШ -----------
Вложение не в текстовом формате было извлечено…
Имя     : отсутствует
Тип     : image/jpg
Размер  : 61727 байтов
Описание: отсутствует
Url     : http://weborto.net:8080/pipermail/ortho/attachments/20120906/b40674b4/attachment-0001.jpg 


Подробная информация о списке рассылки Ortho