[Ortho] Сочетание перелома диафиза и головки плеча - рентгеноконтроль

"Бережной Сергей" orthoforum на weborto.net
Пт Сен 7 22:17:22 YEKST 2012


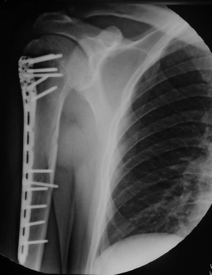
Уважаемые коллеги. В дискуссии по сообщению от 28 июля одним из участников было высказано
сомнение в правильности выбора длины пластины, в ответ на которое я пообещал представить
контрольные рентгенограммы.

Снимки через 41 день после операции: консолидация по типу первичной.
Бережной Сергей
----------- следущая часть -----------
Вложение не в текстовом формате было извлечено…
Имя     : P1040037.JPG
Тип     : image/jpg
Размер  : 52926 байтов
Описание: отсутствует
Url     : http://weborto.net:8080/pipermail/ortho/attachments/20120907/5dc465ee/attachment-0001.jpg 


Подробная информация о списке рассылки Ortho