[Ortho] перекос таза

"Талгат Анашев" orthoforum на weborto.net
Чт Сен 13 01:01:01 YEKST 2012


Здравствуйте.Помогите с диагнозом и тактикой лечения.

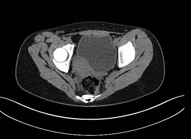
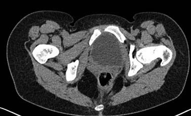
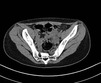
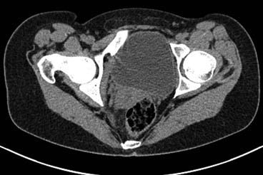
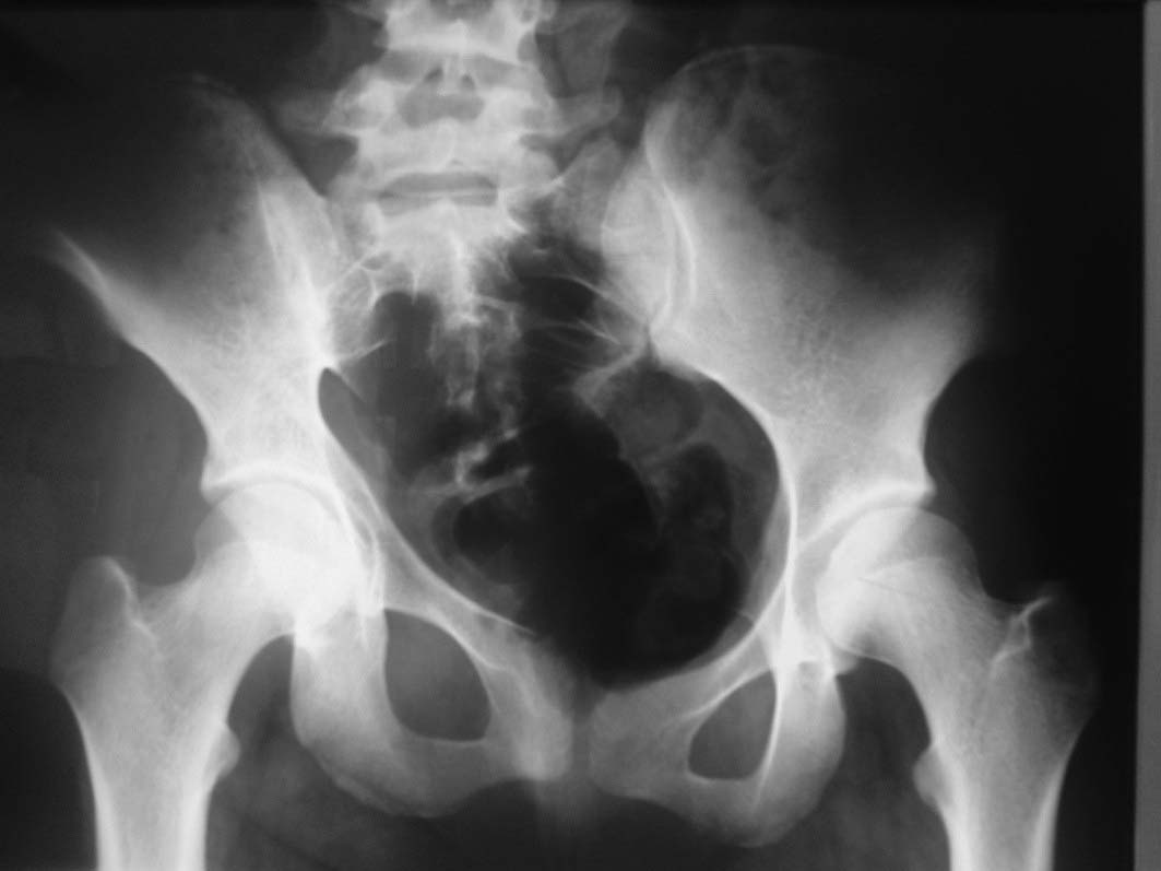
Больная 15 лет. Жалобы: на укорочение правой нижней конечности, хромоту. Анамнез: Со слов
болеет с детства, травму отрицает. Ранее за медицинской помощью не обращалась. Последние 2
года отмечает резкое укорочение конечности. Локально: При осмотре отмечается умеренное
искривление позвоночника во фронтальной плоскости, умеренная асимметрия лопаток и
надплечий. Скошенность таза. Отмечается укорочение правой нижней конечности на 3 см.
Движения в тазобедренном и коленном суставах в полном объеме. Нейрососудистых нарушений в
периферических отделах нет.
Талгат Анашев
НИИТО, Астана
----------- следущая часть -----------
Вложение в формате HTML было извлечено…
URL: http://weborto.net:8080/pipermail/ortho/attachments/20120912/350d5b14/attachment-0001.htm 
----------- следущая часть -----------
Вложение не в текстовом формате было извлечено…
Имя     : 2012-09-12_221039-1.jpg
Тип     : image/jpg
Размер  : 49723 байтов
Описание: отсутствует
Url     : http://weborto.net:8080/pipermail/ortho/attachments/20120912/350d5b14/attachment-0007.jpg 
----------- следущая часть -----------
Вложение не в текстовом формате было извлечено…
Имя     : 2012-09-12_221039-2.jpg
Тип     : image/jpg
Размер  : 32758 байтов
Описание: отсутствует
Url     : http://weborto.net:8080/pipermail/ortho/attachments/20120912/350d5b14/attachment-0008.jpg 
----------- следущая часть -----------
Вложение не в текстовом формате было извлечено…
Имя     : 2012-09-12_221039-3.jpg
Тип     : image/jpg
Размер  : 47807 байтов
Описание: отсутствует
Url     : http://weborto.net:8080/pipermail/ortho/attachments/20120912/350d5b14/attachment-0009.jpg 
----------- следущая часть -----------
Вложение не в текстовом формате было извлечено…
Имя     : 2012-09-12_221039-4.jpg
Тип     : image/jpg
Размер  : 35249 байтов
Описание: отсутствует
Url     : http://weborto.net:8080/pipermail/ortho/attachments/20120912/350d5b14/attachment-0010.jpg 
----------- следущая часть -----------
Вложение не в текстовом формате было извлечено…
Имя     : 2012-09-12_221039-5.jpg
Тип     : image/jpg
Размер  : 34065 байтов
Описание: отсутствует
Url     : http://weborto.net:8080/pipermail/ortho/attachments/20120912/350d5b14/attachment-0011.jpg 
----------- следущая часть -----------
Вложение не в текстовом формате было извлечено…
Имя     : 2012-09-12_221039-6.jpg
Тип     : image/jpg
Размер  : 39062 байтов
Описание: отсутствует
Url     : http://weborto.net:8080/pipermail/ortho/attachments/20120912/350d5b14/attachment-0012.jpg 
----------- следущая часть -----------
Вложение не в текстовом формате было извлечено…
Имя     : 2012-09-12_221039-7.jpg
Тип     : image/jpg
Размер  : 52792 байтов
Описание: отсутствует
Url     : http://weborto.net:8080/pipermail/ortho/attachments/20120912/350d5b14/attachment-0013.jpg 


Подробная информация о списке рассылки Ortho