[Ortho] деформация плечевой кости

"алмасбек" orthoforum на weborto.net
Сб Сен 15 00:44:29 YEKST 2012


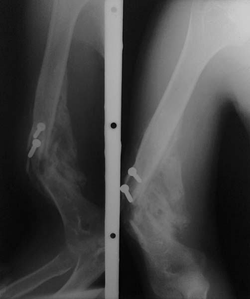
Уважаемые коллеги!  Пациент П 26 лет, на учете у невропатолога по поводу ДЦП. Больной психологический неадеватный. Около 5 мес назад оперирован в одной из ЦРБ по поводу закрытого винтобразного перелома плечевой кости. Произведено открытая репозиция, фиксация отломков компрессирующими винтами. Через 1,5 мес при судорожном приступе упал и получил рефрактуру.
В данный момент имеется выраженная угловая деформация плеча, в проекции деформации-рана 1,5х1,0 см, покрыта коркой, из ран выступает острый конец проксимального отломка (на рентгенограмме видно), отделяемое из ран нет. Потологический подвижность нет. Клинические признаки повреждения лучевого нерва. Помогите определить тактику лечения. Заранее благодарен...


алмасбек
----------- следущая часть -----------
Вложение в формате HTML было извлечено…
URL: http://weborto.net:8080/pipermail/ortho/attachments/20120914/8ed0e710/attachment-0001.htm 
----------- следущая часть -----------
Вложение не в текстовом формате было извлечено…
Имя     : 14092012639.jpg
Тип     : image/jpg
Размер  : 25637 байтов
Описание: отсутствует
Url     : http://weborto.net:8080/pipermail/ortho/attachments/20120914/8ed0e710/attachment-0001.jpg 


Подробная информация о списке рассылки Ortho