[Ortho] анкилоз локтевого сустава

Aleksandr Klink aleksandr.klink на gmail.com
Пт Сен 28 01:17:35 YEKST 2012


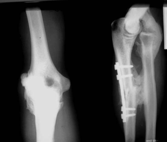
В плане лечения неправильно сросшийся перелом не даст репонировать головку.
Значит надо делать остеотомию локтевой кости с хорошей чисткой мозоли.
Доступ - задне-латеральный по Boyd-у, но не представляю как удастся
очистить головку от мозоли и репонировать. А фиксировать по-новому локтевую
кость только с репонированной головкой. Может тогда и достигнется какое-то
движение в суставе.
Алекс

27 сентября 2012 г., 18:30 пользователь "Pavel Volykov (ЦКБ №1 ОАО
РЖД)" <orthoforum на weborto.net> написал:

> Добрый день. Интересно ваше мнение, уважаемые коллеги.
>
> Мужчина 27 лет, травма год назад - удар по предплечью электропоездом.В ЦРБ
> - остеосинтез
> локтевой кости, вероятно - открытое вправление вывиха головки лучевой
> кости (выписки нет,
> но пациент говорит, что были металлические спицы и есть п/операционный
> рубец в проекции
> головки лучевой кости). В настоящее время: движения в локтевом суставе
> отсутствуют.
> предплечье находится в положении сгибания 160*. Хочется услышать мнения об
> объеме
> оперативного вмешательства, во сколько этапов его проводить.
> Pavel Volykov (ЦКБ &#8470;1 ОАО РЖД)
>
> _______________________________________________
> Ortho mailing list
> Ortho на weborto.net
> http://weborto.net:8080/mailman/listinfo/ortho
>
>
----------- следущая часть -----------
Вложение в формате HTML было извлечено&hellip;
URL: http://weborto.net:8080/pipermail/ortho/attachments/20120927/14d34b32/attachment-0001.htm 
----------- следущая часть -----------
Вложение не в текстовом формате было извлечено&hellip;
Имя     : отсутствует
Тип     : image/jpg
Размер  : 25926 байтов
Описание: отсутствует
Url     : http://weborto.net:8080/pipermail/ortho/attachments/20120927/14d34b32/attachment-0001.jpg 


Подробная информация о списке рассылки Ortho