[Ortho] опять стопа

Maxim Agalakov orthoforum на weborto.net
Вт Апр 9 23:20:09 YEKST 2013


Уважаемые коллеги, я понимаю, что уже утомил вас оперированными стопами, 
но помогите еще с одним случаем

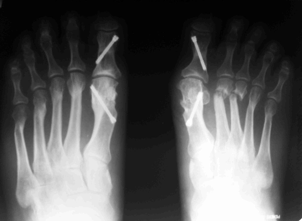
Женщина около 50, активная, оперирована 1 год назад. Тип остеотомии в 
выписке не указан (похоже с 1-го по 5-ую + фаланги). Сожалею. что фото 
стопы не удалось выложить, клинически - выраженная девиация всех пальцев 
стопы слева. Что предпринять? Латеральный релиз, утягивание (лучшего 
синонима не нашел) медиальной капсулы+остеотомии 4-5 с нормальной 
повязкой? 1-ый луч - SERI (для жесткости остальных- к нему притянуть), 
но, головка и так скомпрометирована (или это не брать в расчет?)+ 
освежение ложняков+ коррегирующая остеотомия 4-5 Weil с фиксацией винтом 
(или без фиксации?). С фалангами что делать? Кажется,
что ничего?
Maxim Agalakov


----------- следущая часть -----------
Вложение не в текстовом формате было извлечено…
Имя     : бвГ?г?? г?Г?бвГ?г?1.jpg
Тип     : image/jpeg
Размер  : 26769 байтов
Описание: отсутствует
Url     : http://weborto.net:8080/pipermail/ortho/attachments/20130409/408bfe0a/attachment-0003.jpg 
----------- следущая часть -----------
Вложение не в текстовом формате было извлечено…
Имя     : г?аГ?д?Г??1.jpg
Тип     : image/jpeg
Размер  : 79158 байтов
Описание: отсутствует
Url     : http://weborto.net:8080/pipermail/ortho/attachments/20130409/408bfe0a/attachment-0004.jpg 
----------- следущая часть -----------
Вложение не в текстовом формате было извлечено…
Имя     : д?б?Г??1.jpg
Тип     : image/jpeg
Размер  : 83436 байтов
Описание: отсутствует
Url     : http://weborto.net:8080/pipermail/ortho/attachments/20130409/408bfe0a/attachment-0005.jpg 


Подробная информация о списке рассылки Ortho