[Ortho]

orthoforum weborto.net
11 10:06:12 YEKST 2013


А чего Вы притесняетесь? Насчет "утомил вас оперированными стопами". 
Такая же ортопедия, как и вся остальная, обсуждаемая на форуме. Да еще 
сложный ревизионный случай. Изначально то все здорово было. Так бывает, 
к сожалению, когда все вроде правильно сделано, а в результате не 
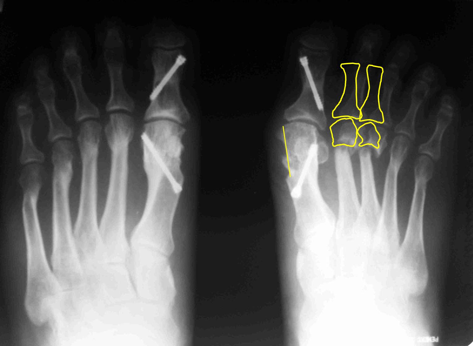
складывается. Почему-то 2 из 10 плюсневых не срослись. На прошлогодней 
конференции AOFAS был доклад о неудачах после операций на стопе, в 
котором авторы выделили группу «нестрастальщиков»: пациентов, которые не 
срастаются без очевидных причин для этого. Может и здесь подобный 
случай.  Из предложенного Вами плана не ясно, зачем делать SERI? Ее ведь 
сделали год назад. Только не стандартный вариант с фиксацией спицей, а 
более сложный, с внутренней фиксацией. Возможно, в этом была причина 
избыточной  латерализации головок: подошвенные пластинки 1 и 2 
плюснефаланговых суставов тесно связаны. Слишком радикальное уменьшение 
   первого межплюсневого угла за счет латерального смещения головки 
первой плюсневой привело к дестабилизации нефиксированных остеотомий 2 и 
3 плюсневых. И если сейчас еще больше переместить головку первой 
плюсневой кнаружи, это только усугубит ситуацию. На схеме я показал, в 
каком положении окажутся 2 и 3 пальцы в случае репозиции головок их 
плюсневых: расстояния между 1 и 2 лучами итак практически не остается. Я 
бы в данном случае подровнял внутренний контур головки 1 плюсневой, 
удалил винт из основной фаланги, выполнил латеральный релиз 1 
плюснефалангового, эйкиноподобную остеотомию основной фаланги 1 пальца; 
репозицию головок 2-3 плюсневых  с фиксацией их головок спицами на 4-6 
недель и положив в область ложных суставов костную аутостружку или 
какой-нибудь искусственный заменитель кости. Если при этом пальцы не 
станут ровнее – выполнил бы остеотомии основных фаланг соответствующих 
пальцев. Без вмешательства на 4-5 плюсневых.
Бережной Сергей

-----------   -----------
Вложение не в текстовом формате было извлечено…
Имя     : Схема операции.jpg
Тип     : image/jpeg
Размер  : 90177 байтов
Описание: отсутствует
Url     : http://weborto.net:8080/pipermail/ortho/attachments/20130411/bbae29ba/attachment-0001.jpg 


Ortho