[Ortho] коксартроз с укорочением - тактика лечения?

Паськов Роман orthoforum на weborto.net
Чт Апр 18 22:51:04 YEKST 2013


Уважаемый Михаил!
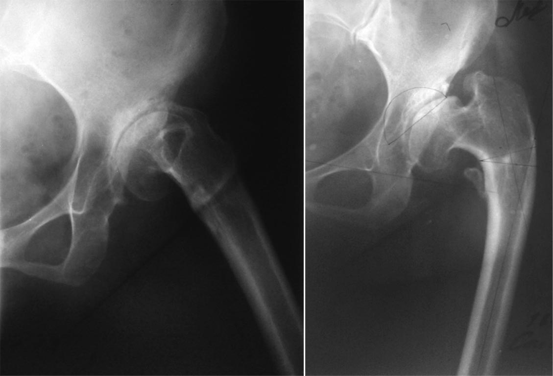
Мы в подобном случае  поступили следующим образом (укорочение тоже было 
значительным, но обошлось без осложнений):
С Уважением Паськов Роман.

----------- следущая часть -----------
Вложение не в текстовом формате было извлечено…
Имя     : 1-1.jpg
Тип     : image/jpeg
Размер  : 52153 байтов
Описание: отсутствует
Url     : http://weborto.net:8080/pipermail/ortho/attachments/20130418/3b1754ed/attachment-0004.jpg 
----------- следущая часть -----------
Вложение не в текстовом формате было извлечено…
Имя     : 1-2.jpg
Тип     : image/jpeg
Размер  : 65738 байтов
Описание: отсутствует
Url     : http://weborto.net:8080/pipermail/ortho/attachments/20130418/3b1754ed/attachment-0005.jpg 
----------- следущая часть -----------
Вложение не в текстовом формате было извлечено…
Имя     : 1-3.jpg
Тип     : image/jpeg
Размер  : 56125 байтов
Описание: отсутствует
Url     : http://weborto.net:8080/pipermail/ortho/attachments/20130418/3b1754ed/attachment-0006.jpg 
----------- следущая часть -----------
Вложение не в текстовом формате было извлечено…
Имя     : 1-4.jpg
Тип     : image/jpeg
Размер  : 56491 байтов
Описание: отсутствует
Url     : http://weborto.net:8080/pipermail/ortho/attachments/20130418/3b1754ed/attachment-0007.jpg 


Подробная информация о списке рассылки Ortho