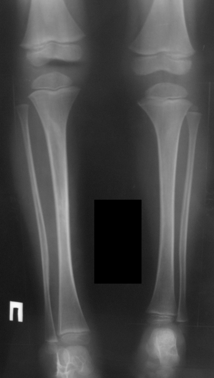
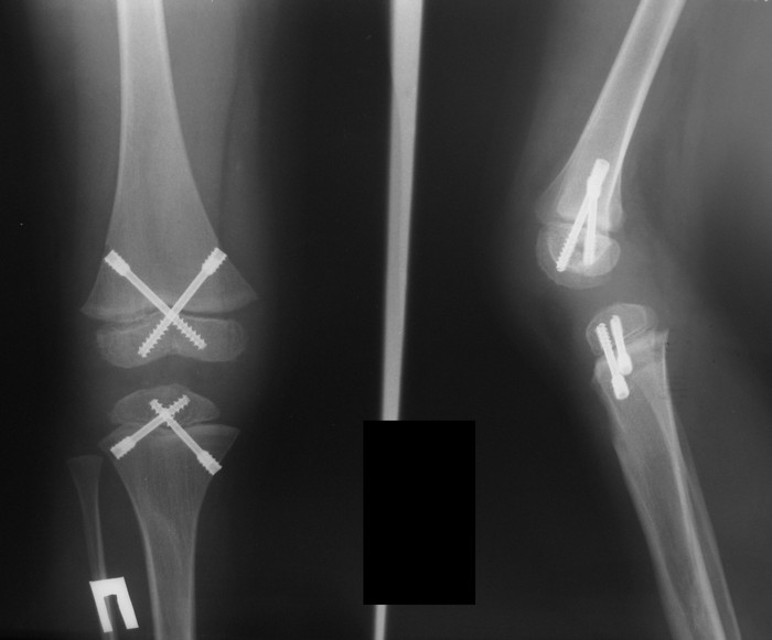
[Ortho] Нейрофиброматоз - удлинение или укорочение?

Сергей Тарасов orthoforum на weborto.net
Пт Апр 19 16:30:07 YEKST 2013


Спасибо, уважаемые коллеги, за комментарии. Взвесили все "за и против" и 
остановились на эпифизеодезе. Теперь будем ждать результатов.
Сергей Тарасов


----------- следущая часть -----------
Вложение не в текстовом формате было извлечено…
Имя     : 1.jpg
Тип     : image/jpeg
Размер  : 116400 байтов
Описание: отсутствует
Url     : http://weborto.net:8080/pipermail/ortho/attachments/20130419/c0bc07fe/attachment-0002.jpg 
----------- следущая часть -----------
Вложение не в текстовом формате было извлечено…
Имя     : 2.jpg
Тип     : image/jpeg
Размер  : 58188 байтов
Описание: отсутствует
Url     : http://weborto.net:8080/pipermail/ortho/attachments/20130419/c0bc07fe/attachment-0003.jpg 


Подробная информация о списке рассылки Ortho