[Ortho] Постсифилитическая артропатия

Евгений orthoforum на weborto.net
Вс Апр 21 23:05:29 YEKST 2013


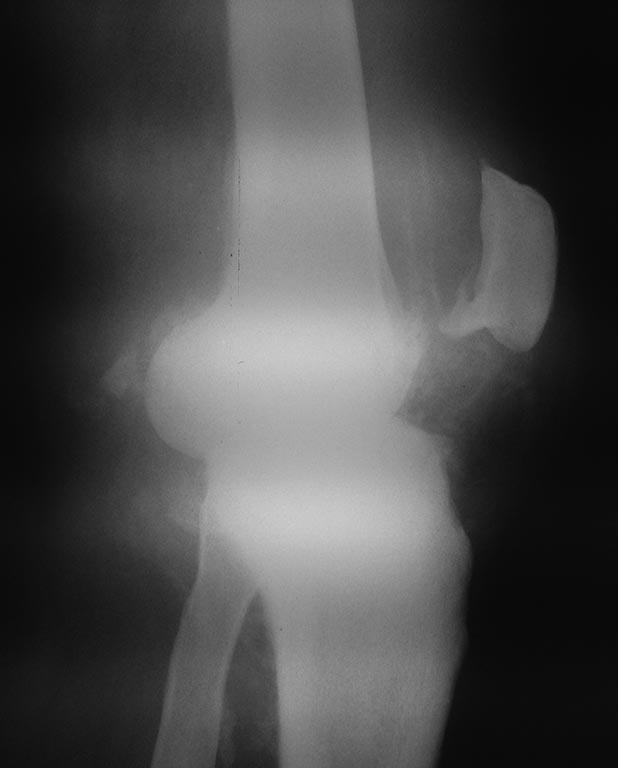
Коллеги поделитесь опытом пожалуйста, в методах лечения сустава Шарко 
правого коленного
сустава, заранее благодарен.


Евгений
Сургутская клиническая травматологическая больница

----------- следущая часть -----------
Вложение не в текстовом формате было извлечено…
Имя     : IMG_0702.JPG
Тип     : image/jpeg
Размер  : 34391 байтов
Описание: отсутствует
Url     : http://weborto.net:8080/pipermail/ortho/attachments/20130421/578f9f74/attachment-0001.jpe 


Подробная информация о списке рассылки Ortho