[Ortho] ложный сустав надколенника

николай orthoforum на weborto.net
Пт Апр 26 16:30:39 YEKST 2013


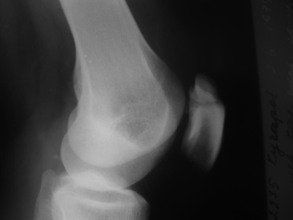
Уважаемые коллеги! поделитесь мыслями об вариантах оперативного лечения 
ложного сустава
надколенника. С момента травмы прошло больше года.


николай
КЦГБ


----------- следущая часть -----------
Вложение не в текстовом формате было извлечено…
Имя     : IMG_0538.JPG
Тип     : image/jpeg
Размер  : 49590 байтов
Описание: отсутствует
Url     : http://weborto.net:8080/pipermail/ortho/attachments/20130426/c59d79d0/attachment-0001.jpeg 


Подробная информация о списке рассылки Ortho