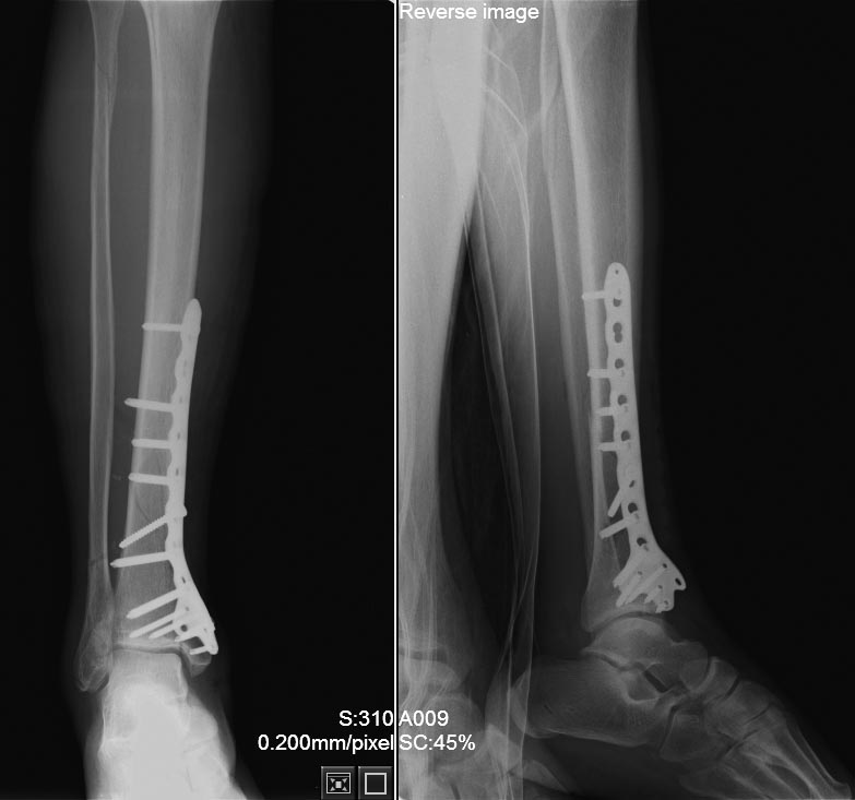
[Ortho] Перелом нижней трети голени - стержень или пластина?

Пименов В.Р. orthoforum на weborto.net
Вс Апр 28 02:07:11 YEKST 2013


Привожу снимки после операции
Пименов В.Р.

----------- следущая часть -----------
Вложение не в текстовом формате было извлечено…
Имя     : 2013-04-27_173152.jpg
Тип     : image/jpeg
Размер  : 52131 байтов
Описание: отсутствует
Url     : http://weborto.net:8080/pipermail/ortho/attachments/20130428/ef58b765/attachment-0001.jpg 


Подробная информация о списке рассылки Ortho