[Ortho] Перелом пилона

Ajvan orthoforum на weborto.net
Вс Авг 4 21:38:09 YEKST 2013


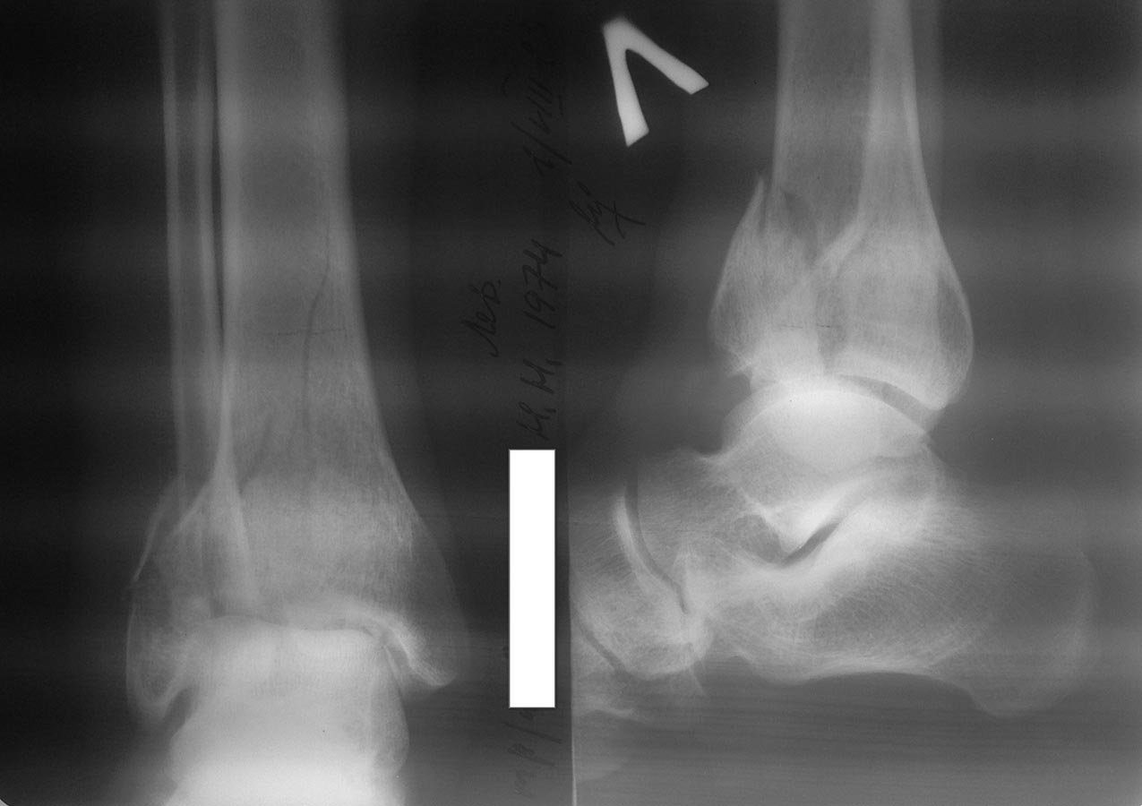
Доброго времени суток! Хотелось бы услышать Ваше мнение по тактике 
лечения больного.

Больной 1974 года рождения, мужчина. Обстоятельство травмы: падение с 
высоты 2-ух метров. В настоящее время наложены гипсовые лонгеты на обе 
нижние конечности, отек умеренный, единичные фликтены.
Чувствительность и движения в пальцах стоп в норме.
Из вредных привычек - курение (более 20 лет)...
Ajvan
ЦБ Темиртау

----------- следущая часть -----------
Вложение не в текстовом формате было извлечено…
Имя     : 2013-08-04 13.31.13.jpg
Тип     : image/jpeg
Размер  : 78623 байтов
Описание: отсутствует
Url     : http://weborto.net:8080/pipermail/ortho/attachments/20130804/3b000f01/attachment-0001.jpg 


Подробная информация о списке рассылки Ortho