[Ortho] Переломы плюсневых костей

Иван orthoforum на weborto.net
Вт Авг 13 14:48:14 YEKST 2013


Хотел бы узнать Ваше мнение о дальнейшей лечебной тактике.

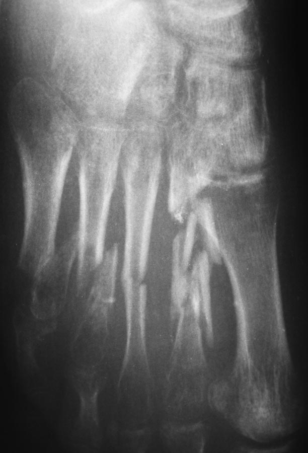
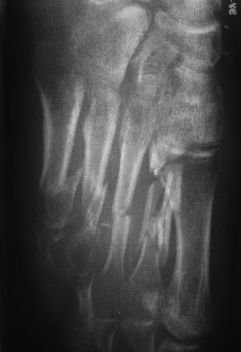
Пациентка 19 лет 11.05.13 получила травму в результате ДТП. диагноз: 
Открытые 3а степени оскольчатые переломы диафиза 2-5 плюсневых костей, 
перелом проксимальной фаланги 5 пальца, разрыв сухожилия разгибателя 4 
пальца правой стопы. При поступлении выполнено ПХО открытых переломов, 
фиксация спицами. Рана тыла стопы заживала без воспаления, однако
имелся частичный некроз кожного лоскута. По снятии швов произведена 
иммобилизация циркулярной повязкой. Снимки стопы через 2,5 мес. 
иммобилизации.

Прошу помочь в определении дальнейшей тактики:
- разрешить частичную нагрузку и продолжить иммобилизацию - на сколько(?)
- продолжить иммобилизацию без нагрузки
- предложить оперативное лечение?
Иван


----------- следущая часть -----------
Вложение не в текстовом формате было извлечено…
Имя     : 2013-08-13_105934-1.jpg
Тип     : image/jpeg
Размер  : 67837 байтов
Описание: отсутствует
Url     : http://weborto.net:8080/pipermail/ortho/attachments/20130813/3f4a9de2/attachment-0003.jpg 
----------- следущая часть -----------
Вложение не в текстовом формате было извлечено…
Имя     : 2013-08-13_105934-2.jpg
Тип     : image/jpeg
Размер  : 88305 байтов
Описание: отсутствует
Url     : http://weborto.net:8080/pipermail/ortho/attachments/20130813/3f4a9de2/attachment-0004.jpg 
----------- следущая часть -----------
Вложение не в текстовом формате было извлечено…
Имя     : 2013-08-13_105934-3.jpg
Тип     : image/jpeg
Размер  : 66373 байтов
Описание: отсутствует
Url     : http://weborto.net:8080/pipermail/ortho/attachments/20130813/3f4a9de2/attachment-0005.jpg 


Подробная информация о списке рассылки Ortho