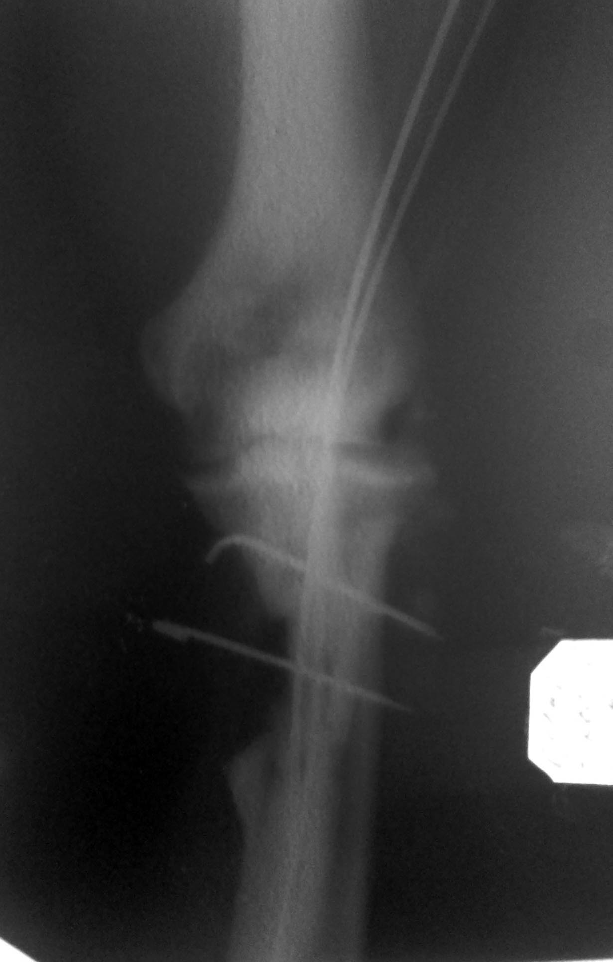
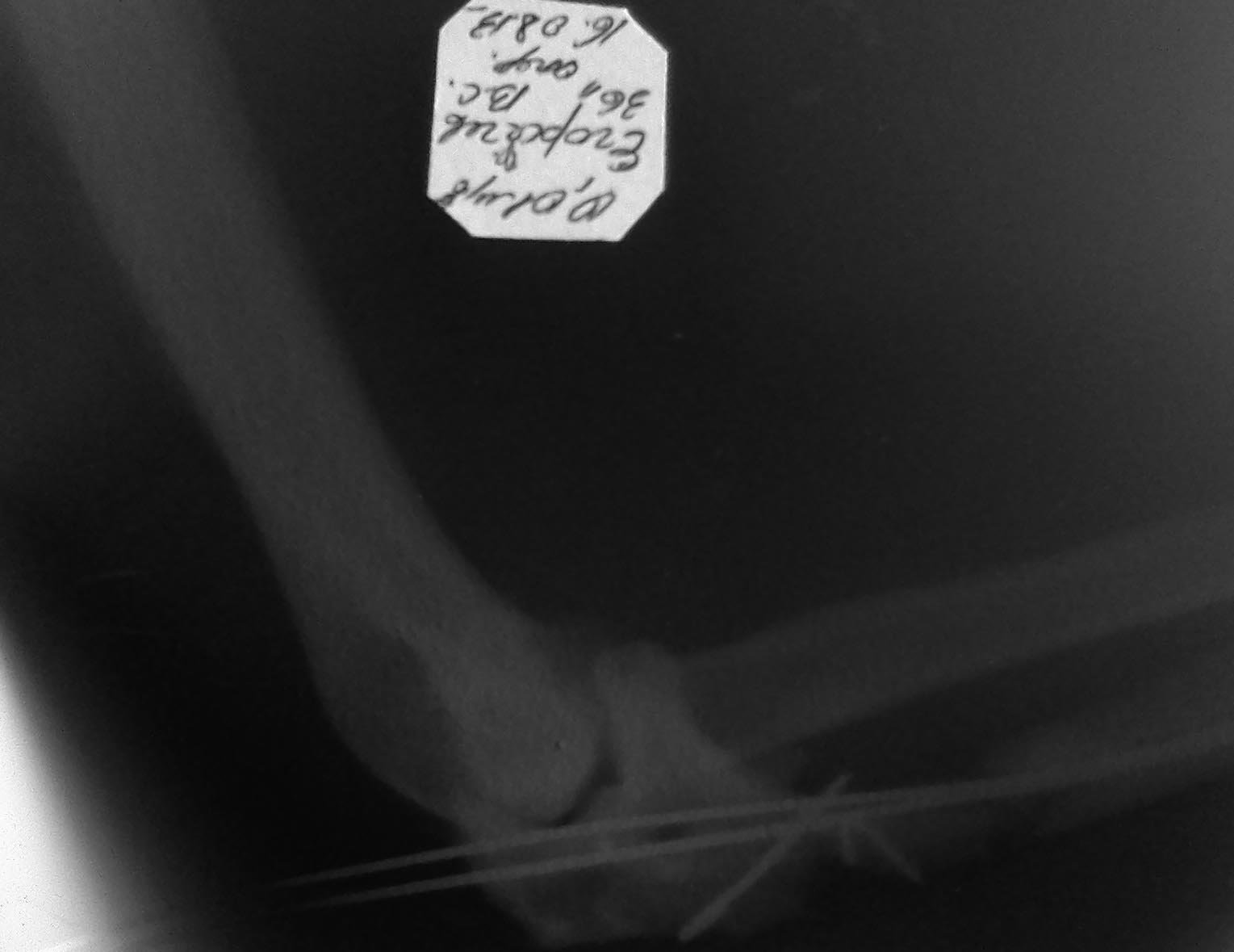
[Ortho] Открытый переломы в области колена и локтевой кости

Столяров Илья orthoforum на weborto.net
Пн Авг 19 01:49:32 YEKST 2013


Рентгенограммы еще
Столяров Илья

----------- следущая часть -----------
Вложение не в текстовом формате было извлечено…
Имя     : IMG684.jpg
Тип     : image/jpeg
Размер  : 63925 байтов
Описание: отсутствует
Url     : http://weborto.net:8080/pipermail/ortho/attachments/20130819/c355101e/attachment-0003.jpg 
----------- следущая часть -----------
Вложение не в текстовом формате было извлечено…
Имя     : IMG685.jpg
Тип     : image/jpeg
Размер  : 97296 байтов
Описание: отсутствует
Url     : http://weborto.net:8080/pipermail/ortho/attachments/20130819/c355101e/attachment-0004.jpg 
----------- следущая часть -----------
Вложение не в текстовом формате было извлечено…
Имя     : IMG690.jpg
Тип     : image/jpeg
Размер  : 135987 байтов
Описание: отсутствует
Url     : http://weborto.net:8080/pipermail/ortho/attachments/20130819/c355101e/attachment-0005.jpg 


Подробная информация о списке рассылки Ortho