[Ortho]

Djoldas Kuldjanov, M.D. orthoforum weborto.net
27 22:32:22 YEKST 2013


С задачей справились хорошо, поздравляю!

> /“При поступлении обследована (обзорный таза + вход в таз)”/

До операции желательно выставить все стандартные снимки: обзорный таза, 
вход + выход. А популярный у всех 3Д используется только для общего 
обзора, но не для детального изучения. Обычно КТ“для 
диагностики-стандарт, а послеоперационно - дополнительный расход”. Лучше 
обычные рентген-снимки, но бывают исключения, когда на снимке имеются 
неясности, например, винт через сакральный форамен или через сустав!

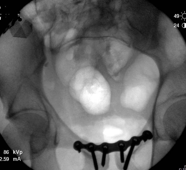
Перелом заднего отдела крыла подвдошной кости доказывает, что задние 
связочные элементы подвздошно- крестцового сочленения интактны, и такой 
перелом известен как“Сrescent fracture’. Переломы разделяется на 4 типа, 
и до фиксации надо хорошо изучить топографию перелома, иначе винт может 
попасть в линию перелома и не удержать фиксацию.
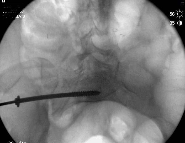
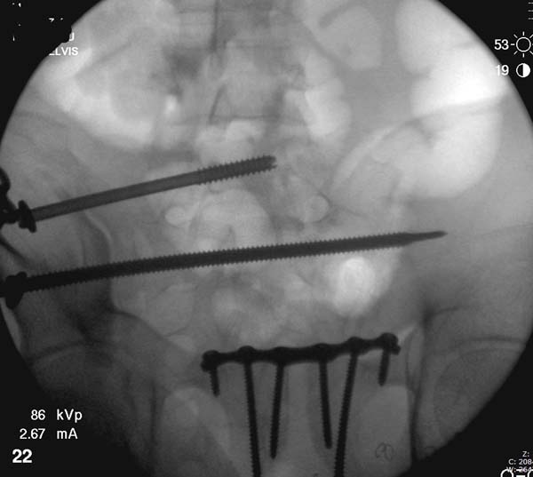
Но вам повезло, двумя винтами смогли зацепить и репонировать 
переломо-вывих. Обычно такие переломы надо фиксировать спереди или сзади 
пластиной или шурупом, т.е. создать дополнительную стабильность крыла, 
кроме  перкутанной фиксации.

Техника репозиции вытяжением работает намного лучше, когда конечность в 
согнутом положении, потому что нейтрализируются абдоминальные мышцы. 
Вместо больших грузов, сгибание лучший прием для репозиции. А все 
остальные методы: фиксация половины таза к столу и опускание головной 
части вниз, создают хаос в операционной!

1. оценить мочевыделительную функцию и состав мочи (вероятно, есть 
проблемы недержания мочи), гематурия?.
2.Как часто акт дефекации за сутки?
3. Неврологический дефицит в поясе нижних конечностей?
4. Антропометрические данные (ожирение)?
5. Сопутствующая патология (диабет, сосудистая патология и пр.)?

Все названные критерии имеют ценность, но являются относительными. 
Оперативные показания от этих показателей не меняются! Немного 
осторожности не помешает с более агрессивными вариантами фиксации 
(транспедикулярая?) и они должны хорошо изучены и аргументированы...

Опишите более подробно  "стабилизацию системой ЦИТО" , это вид наружного 
фиксатора? И на сколько желаете оставить эту "систему"?

По разным причинам, например, при минимальном разрыве симфиза, или при 
отсутствии смещения костей не обязательно проводить переднюю фиксацию, 
но для усиления задней желательно зафиксировать дополнительным наружным 
фиксатором. Во избежания мягкотканых осложнений  временная фиксация не 
более чем месяц.


Здесь примеры фиксации с различными вариантами.... .

Djoldas Kuldjanov, M.D.


-----------   -----------
Вложение не в текстовом формате было извлечено…
Имя     : 1 Pelvis crush injury.jpg
Тип     : image/jpeg
Размер  : 46752 байтов
Описание: отсутствует
Url     : http://weborto.net:8080/pipermail/ortho/attachments/20130827/bd348a69/attachment-0013.jpg 
-----------   -----------
Вложение не в текстовом формате было извлечено…
Имя     : 2 Pelvis crush injury.jpg
Тип     : image/jpeg
Размер  : 38576 байтов
Описание: отсутствует
Url     : http://weborto.net:8080/pipermail/ortho/attachments/20130827/bd348a69/attachment-0014.jpg 
-----------   -----------
Вложение не в текстовом формате было извлечено…
Имя     : 3 Pelvis crush injury.jpg
Тип     : image/jpeg
Размер  : 44222 байтов
Описание: отсутствует
Url     : http://weborto.net:8080/pipermail/ortho/attachments/20130827/bd348a69/attachment-0015.jpg 
-----------   -----------
Вложение не в текстовом формате было извлечено…
Имя     : 5 Pelvis crush injury 3D.jpg
Тип     : image/jpeg
Размер  : 45740 байтов
Описание: отсутствует
Url     : http://weborto.net:8080/pipermail/ortho/attachments/20130827/bd348a69/attachment-0016.jpg 
-----------   -----------
Вложение не в текстовом формате было извлечено…
Имя     : 7 Pelvis crush injury 3D.jpg
Тип     : image/jpeg
Размер  : 48229 байтов
Описание: отсутствует
Url     : http://weborto.net:8080/pipermail/ortho/attachments/20130827/bd348a69/attachment-0017.jpg 
-----------   -----------
Вложение не в текстовом формате было извлечено…
Имя     : 10 Pelvis crush injury CRM 1.jpg
Тип     : image/jpeg
Размер  : 42585 байтов
Описание: отсутствует
Url     : http://weborto.net:8080/pipermail/ortho/attachments/20130827/bd348a69/attachment-0018.jpg 
-----------   -----------
Вложение не в текстовом формате было извлечено…
Имя     : 11 Pelvis crush injury CRM 2.jpg
Тип     : image/jpeg
Размер  : 41530 байтов
Описание: отсутствует
Url     : http://weborto.net:8080/pipermail/ortho/attachments/20130827/bd348a69/attachment-0019.jpg 
-----------   -----------
Вложение не в текстовом формате было извлечено…
Имя     : 12 Pelvis crush injury CRM 4.jpg
Тип     : image/jpeg
Размер  : 34127 байтов
Описание: отсутствует
Url     : http://weborto.net:8080/pipermail/ortho/attachments/20130827/bd348a69/attachment-0020.jpg 
-----------   -----------
Вложение не в текстовом формате было извлечено…
Имя     : 13 Pelvis crush injury CRM 5.jpg
Тип     : image/jpeg
Размер  : 33052 байтов
Описание: отсутствует
Url     : http://weborto.net:8080/pipermail/ortho/attachments/20130827/bd348a69/attachment-0021.jpg 
-----------   -----------
Вложение не в текстовом формате было извлечено…
Имя     : 16 Pelvis crush injury CRM 9.jpg
Тип     : image/jpeg
Размер  : 30280 байтов
Описание: отсутствует
Url     : http://weborto.net:8080/pipermail/ortho/attachments/20130827/bd348a69/attachment-0022.jpg 
-----------   -----------
Вложение не в текстовом формате было извлечено…
Имя     : 16a Pelvis crush injury CRM 8.jpg
Тип     : image/jpeg
Размер  : 38290 байтов
Описание: отсутствует
Url     : http://weborto.net:8080/pipermail/ortho/attachments/20130827/bd348a69/attachment-0023.jpg 
-----------   -----------
Вложение не в текстовом формате было извлечено…
Имя     : 17 Pelvis crush injury.jpg
Тип     : image/jpeg
Размер  : 46839 байтов
Описание: отсутствует
Url     : http://weborto.net:8080/pipermail/ortho/attachments/20130827/bd348a69/attachment-0024.jpg 
-----------   -----------
Вложение не в текстовом формате было извлечено…
Имя     : 18 Pelvis crush injury.jpg
Тип     : image/jpeg
Размер  : 40227 байтов
Описание: отсутствует
Url     : http://weborto.net:8080/pipermail/ortho/attachments/20130827/bd348a69/attachment-0025.jpg 


Ortho