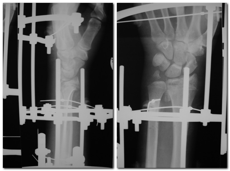
[Ortho] Закрытый оскольчатый перелом дистального метэпифиза лучевой кости

Николай orthoforum на weborto.net
Ср Дек 4 13:52:40 YEKT 2013


снимки в аппарате
Николай

----------- следущая часть -----------
Вложение не в текстовом формате было извлечено…
Имя     : 2013-12-04_120014.jpg
Тип     : image/jpeg
Размер  : 69835 байтов
Описание: отсутствует
Url     : http://weborto.net:8080/pipermail/ortho/attachments/20131204/fe20c78e/attachment-0001.jpg 


Подробная информация о списке рассылки Ortho