[Ortho] Несращение плеча

Андрей orthoforum на weborto.net
Вт Дек 10 03:37:22 YEKT 2013


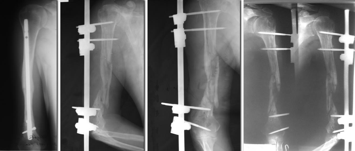
Поступил пациент 39 лет. В анамнезе в марте 2013 года в одном из 
медицинских учреждений произведено удаление интрамедуллярного стержня из 
левой плечевой кости. По выписке - при удалении были технические 
трудности, что привело к перелому плечевой кости. Перелом фиксирован 
аппаратом внешней фиксации (фото 2 и 3). На данном этапе отмечается
нестабильность аппарата (фото 4), расшатывание проксимальных стержней, 
патологическая подвижность в месте перелома. Воспаления вокруг стержней 
нет, свищей нет. Аппарат демонтирован для заживления ран от стержней. 
Рассматривается вариант оперативного лечения - фиксация перелома LCP 
пластиной с костной пластикой. Интересует мнение коллег в плане 
технических моментов операции и возможных альтернативных методов лечения 
данного пациента.
Андрей

----------- следущая часть -----------
Вложение не в текстовом формате было извлечено…
Имя     : 2013-12-10_003021.jpg
Тип     : image/jpeg
Размер  : 65743 байтов
Описание: отсутствует
Url     : http://weborto.net:8080/pipermail/ortho/attachments/20131210/ab73967e/attachment-0001.jpg 


Подробная информация о списке рассылки Ortho