[Ortho]

Djoldas Kuldjanov, M.D. orthoforum weborto.net
12 15:57:03 YEKT 2013


Уважаемые коллеги,

“Если сохранится нестабильность, потребуется или шов передней порции 
медиальной коллатеральной связки с иммобилизацией верхней конечности 
аппаратом внешней фиксации (желательно с сохранением движений в локтевом 
суставе) или только аппарат(мнения расходятся). Аппарат 6 недель. 
Результаты лечения таких повреждений не очень хорошие”

Надеюсь, что разбор на Форуме был полезным, и с учетом всех тех 
предложений, смогли оказать помощь вашей пациентке. Вместе благодарности 
коллегам, лучше покажите результат. Случай сложный, будет полезным 
обменяться опытом и рассказать детали операции.

Если до сих пор не принято решение, тогда хотел напомнить, что в 
скелетной травме существует термин "ургентная ортопедия", который 
обязывает решать срочные ортопедические проблемы безотлогательно, 
независимо от времени суток. Но в жизни, из-за недостаточности опыта 
врача или материальных возможностей, бывает невозможно решить проблему 
своевременно.

Кстати, ургентные ситуации в ортопедии: нарушения кровообращения 
(холодная конечность без пульса) подозрение на компартмент синдром и все 
виды переломо-вывихов.

Здесь не тот случай, когда надо рассуждать о целосообразности 
дополнительных исследовании. Если вывих доказан даже минимальным 
исследованием, тогда нет смысла в дополнительных рентгене или КТ срезах, 
тем более 3Д. Затяжка нерепонированного вывиха может привести к 
осложнениям.

Вместо ожиданий, срочно надо идти на устранение вывиха, включая 
открытое. После репозиции проверить на стабильность. Нестабильный сустав 
трудно удержать в гипсе, в закрытом гипсе легко снова вывихивается и это 
пропускается. При отсутствии другого метода фиксации, надо постоянно 
следить за состоянием конечности в гипсе. Распознанный вовремя вывих 
спасет от неприятностей в будущем.

Если сустав стабильный, тогда надо дополнительные исследования. 
Окончательный метод лечения - на основании новых данных. При 
нестабильности, некоторые до улучшения кондиции мягких тканей 
предпочитают временный наружный фиксатор, а потом планировать фиксацию?

Наш опыт лечения серьезных суставных повреждений доказывает то, что 
сложные внутри и внесуставные операции не всегда приводят к успеху. 
Независимо от сложности операции остаются ограничения движений и 
нестоятельности в суставе.

В общем, я хотел сообщить об алгоритме, который применяем у себя. Еще в 
1998 году мой партнер по работе Kathy Kramer (скоропостижно скончалась, 
в ОТА под ее именем имеется грант) написала про наш опыт лечения 
трансартикулярной фиксацией в 29 случаев вывиха. Кстати, вспомнил 
прошлогодний спор коллег на Форуме, где площадь повреждения хряща 
спицами измеряли в мм2. Конечно, такая защита хряща радует, но при 
игнорированных неделями вывихах? Из-за критики повреждения хряща не 
позволили опубликовать статью.

Несмотря на отрицательный отзыв, некоторые нестабильные вывихи лечим 
трансартикулярным методом. Тонкие спицы ломаются и имеют риск 
внутрисуставной инфекции. Винты 3.5 мм не выдерживают, а более толстые 
каннюлированные винты неплохо проявили себя. Неосторожность при 
установке приводила к поломке тонких guide wire внутри сустава. Лучшие 
кортикальные в 4.5 мм и гипс на три недели. Винт удаляется, затем 
разработка сустава.

Иногда гипс не гарантировал стабильность и винт внутри гипса ломался. 
Удаление сломанного винта облегчаем, оставляя на пару мм длиннее с 
наружной стороны, Т.е винт через олекранон над наружный мыщелок, и 
никогда в трубку диафиза! Из малого разреза кончик сломанного винта 
удаляется без проблем.

В заключение: результат применения трансартикулярной фиксации (более 20 
лет) в сравнении со сложными реконструктивными операциями показывает 
лучшую амплитуду движений! Возможно, у коллег имеются другие  варианты, 
а мы без привлечения больших затрат решаем проблему.

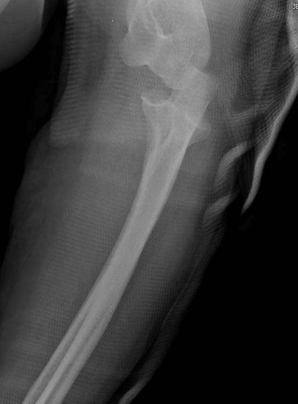
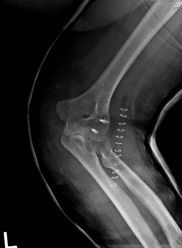
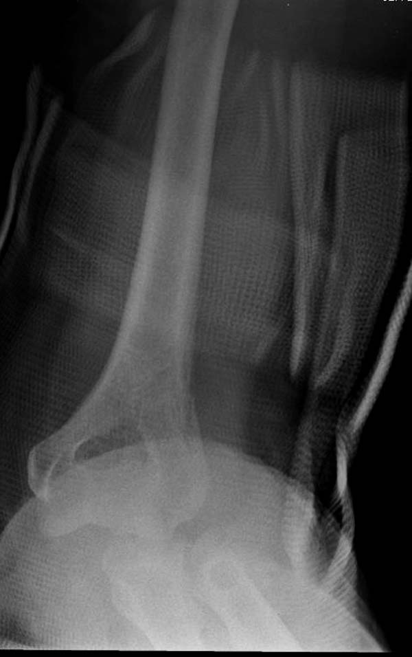
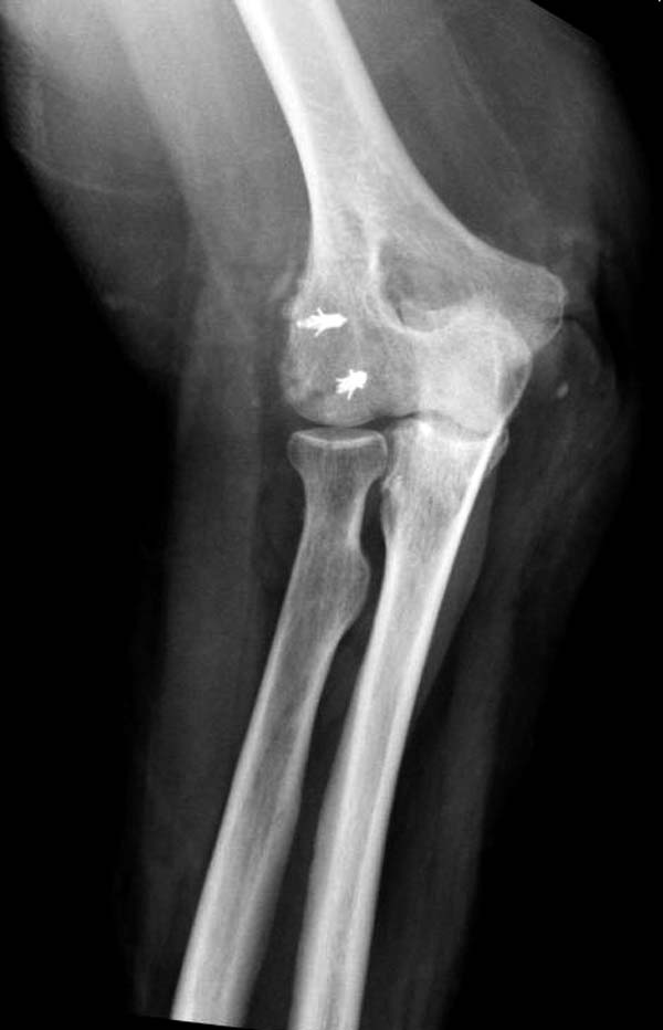
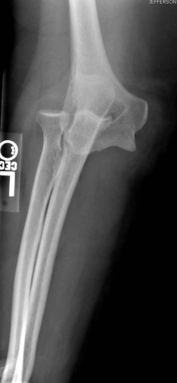
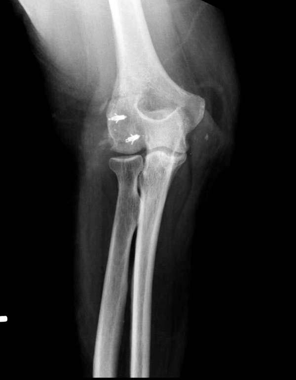
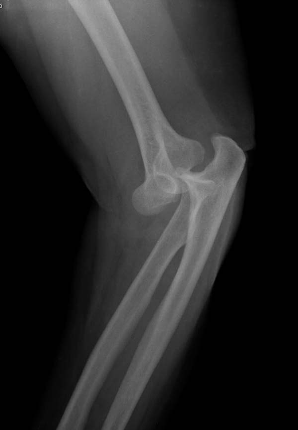
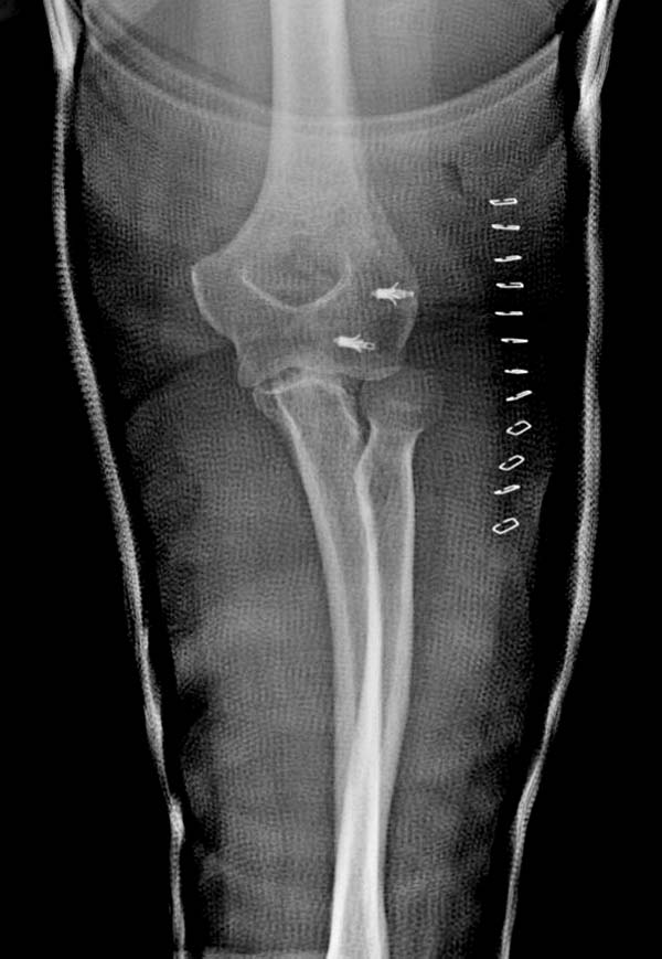
Для примера здесь случай начатый в другом центре, а потом переправленный 
к нам.

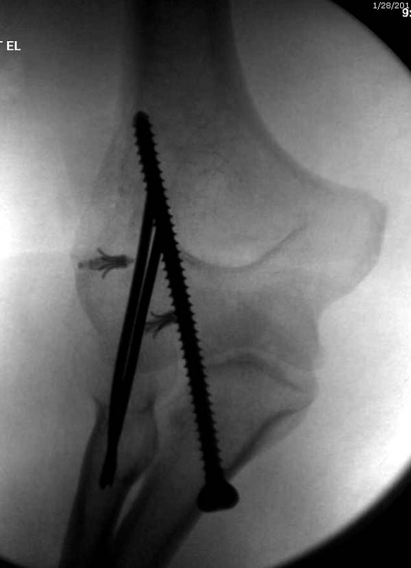
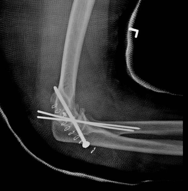
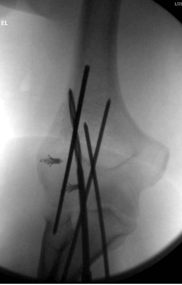
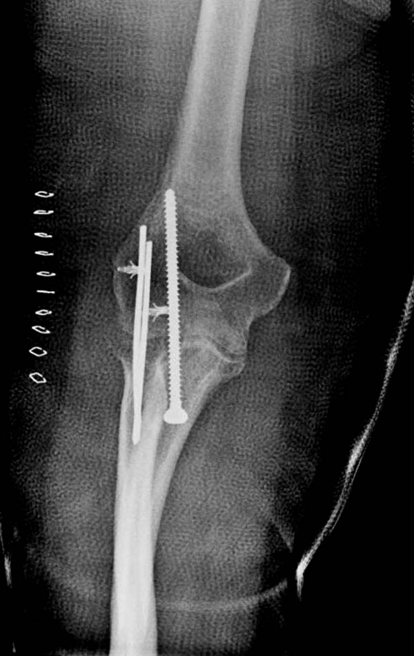
Снимки: 1-2 вывих, 4-5 вторичное смещение в гипсе, реконструкция 
латеральной связки и капсулы 13-14, повторный вывих после реконструкции, 
перевод в наш центр; 18-21 временная фиксация, 22-25 трансартикулярная 
фиксация и нестабильная головка фиксирована спицами, 29-30 амбулаторно, 
32-33 после удаления винта и спиц...

Джолдас Кульджанов


-----------   -----------
Вложение не в текстовом формате было извлечено…
Имя     : 1 Elbow dislocation injury.jpg
Тип     : image/jpeg
Размер  : 30040 байтов
Описание: отсутствует
Url     : http://weborto.net:8080/pipermail/ortho/attachments/20131212/4b05a6a3/attachment-0006.jpg 
-----------   -----------
Вложение не в текстовом формате было извлечено…
Имя     : 2 Elbow dislocation injury.jpg
Тип     : image/jpeg
Размер  : 48147 байтов
Описание: отсутствует
Url     : http://weborto.net:8080/pipermail/ortho/attachments/20131212/4b05a6a3/attachment-0007.jpg 
-----------   -----------
Вложение не в текстовом формате было извлечено…
Имя     : 4 Elbow dislocation post reduction.jpg
Тип     : image/jpeg
Размер  : 51750 байтов
Описание: отсутствует
Url     : http://weborto.net:8080/pipermail/ortho/attachments/20131212/4b05a6a3/attachment-0008.jpg 
-----------   -----------
Вложение не в текстовом формате было извлечено…
Имя     : 5 Elbow dislocation postreduction.jpg
Тип     : image/jpeg
Размер  : 39536 байтов
Описание: отсутствует
Url     : http://weborto.net:8080/pipermail/ortho/attachments/20131212/4b05a6a3/attachment-0009.jpg 
-----------   -----------
Вложение не в текстовом формате было извлечено…
Имя     : 13 Elbow dislocation PO.jpg
Тип     : image/jpeg
Размер  : 70885 байтов
Описание: отсутствует
Url     : http://weborto.net:8080/pipermail/ortho/attachments/20131212/4b05a6a3/attachment-0010.jpg 
-----------   -----------
Вложение не в текстовом формате было извлечено…
Имя     : 14 Elbow dislocation PO2.jpg
Тип     : image/jpeg
Размер  : 60814 байтов
Описание: отсутствует
Url     : http://weborto.net:8080/pipermail/ortho/attachments/20131212/4b05a6a3/attachment-0011.jpg 
-----------   -----------
Вложение не в текстовом формате было извлечено…
Имя     : 18 Elbow dislocation closed reduction SLU 3.JPG
Тип     : image/jpeg
Размер  : 24892 байтов
Описание: отсутствует
Url     : http://weborto.net:8080/pipermail/ortho/attachments/20131212/4b05a6a3/attachment-0008.jpeg 
-----------   -----------
Вложение не в текстовом формате было извлечено…
Имя     : 21 Elbow dislocation closed reduction SLU 6.JPG
Тип     : image/jpeg
Размер  : 37692 байтов
Описание: отсутствует
Url     : http://weborto.net:8080/pipermail/ortho/attachments/20131212/4b05a6a3/attachment-0009.jpeg 
-----------   -----------
Вложение не в текстовом формате было извлечено…
Имя     : 22 Elbow dislocation closed reduction SLU 7.JPG
Тип     : image/jpeg
Размер  : 28223 байтов
Описание: отсутствует
Url     : http://weborto.net:8080/pipermail/ortho/attachments/20131212/4b05a6a3/attachment-0010.jpeg 
-----------   -----------
Вложение не в текстовом формате было извлечено…
Имя     : 25 Elbow dislocation closed reduction SLU 10.JPG
Тип     : image/jpeg
Размер  : 38204 байтов
Описание: отсутствует
Url     : http://weborto.net:8080/pipermail/ortho/attachments/20131212/4b05a6a3/attachment-0011.jpeg 
-----------   -----------
Вложение не в текстовом формате было извлечено…
Имя     : 29 Elbow dislocation closed reduction fin 2.JPG
Тип     : image/jpeg
Размер  : 77031 байтов
Описание: отсутствует
Url     : http://weborto.net:8080/pipermail/ortho/attachments/20131212/4b05a6a3/attachment-0012.jpeg 
-----------   -----------
Вложение не в текстовом формате было извлечено…
Имя     : 30 Elbow dislocation closed reduction fin 3.JPG
Тип     : image/jpeg
Размер  : 49802 байтов
Описание: отсутствует
Url     : http://weborto.net:8080/pipermail/ortho/attachments/20131212/4b05a6a3/attachment-0013.jpeg 
-----------   -----------
Вложение не в текстовом формате было извлечено…
Имя     : 32 Elbow dislocation post removal 2.JPG
Тип     : image/jpeg
Размер  : 43833 байтов
Описание: отсутствует
Url     : http://weborto.net:8080/pipermail/ortho/attachments/20131212/4b05a6a3/attachment-0014.jpeg 
-----------   -----------
Вложение не в текстовом формате было извлечено…
Имя     : 33 Elbow dislocation post removal 3.JPG
Тип     : image/jpeg
Размер  : 33604 байтов
Описание: отсутствует
Url     : http://weborto.net:8080/pipermail/ortho/attachments/20131212/4b05a6a3/attachment-0015.jpeg 


Ortho