[Ortho] Политравма

Djoldas Kuldjanov, M.D. orthoforum на weborto.net
Чт Дек 12 17:10:25 YEKT 2013


Уважаемые коллеги,


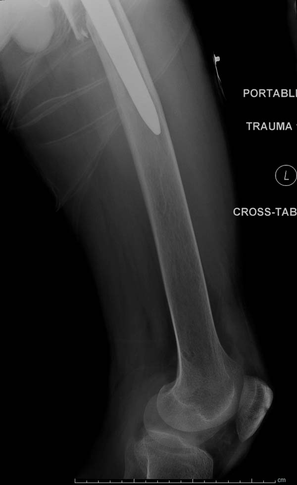
Больному 25 лет, транспортная травма. С детства хроническая почечная 
недостаточность, постоянный гемодиализ, находится в листе ожидания на 
пересадку почки. Около 4 года назад автоавария с двухсторенним переломом 
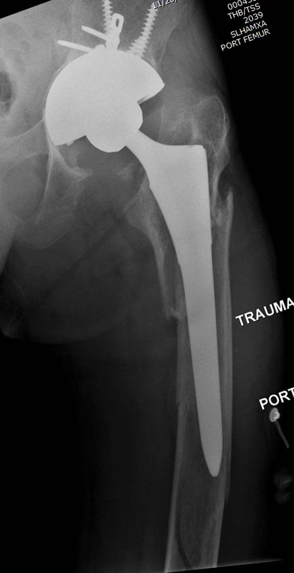
ацетабулум, которая слева закончилось тотальным протезированием.

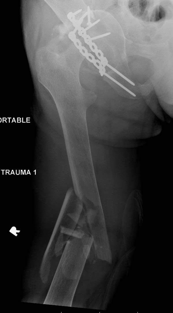
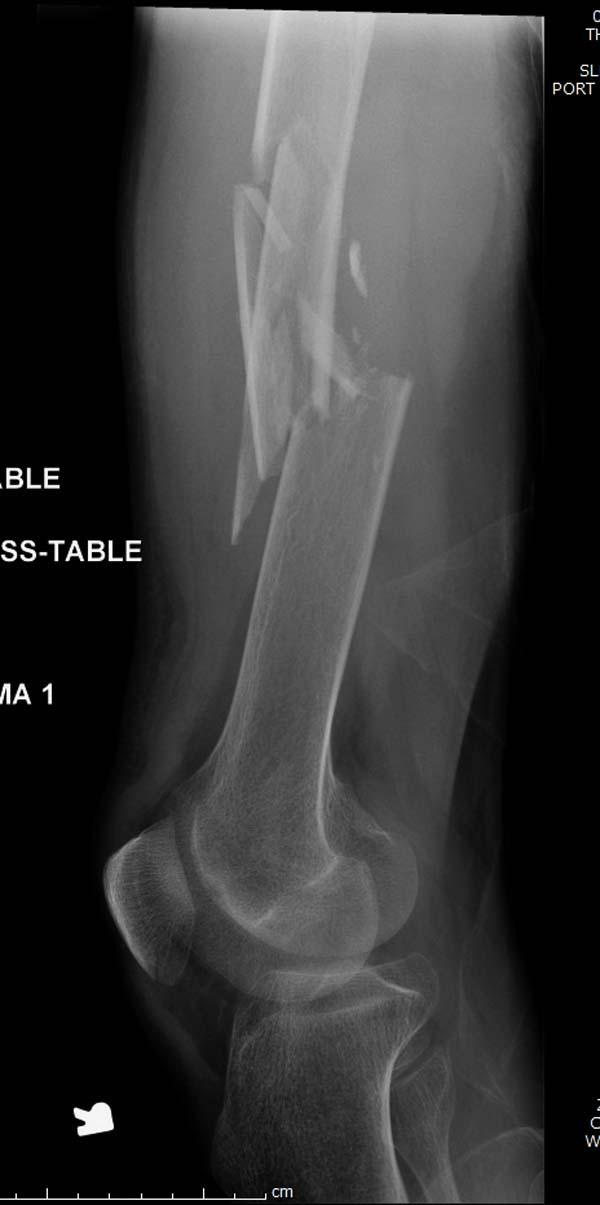
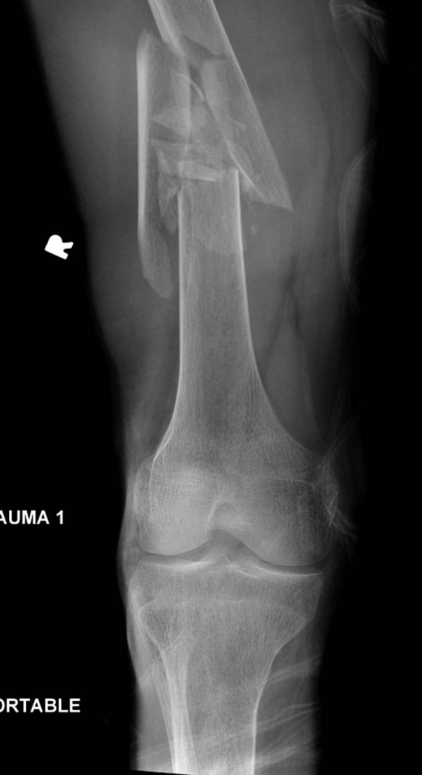
Диагноз: переломы бедренных костей, перелом дистального плеча слева, 
также неосложненный перелом на уровне грудных позвонков.


Рентген снимки. Хотели услышать примерный алгоритм лечения, c чего 
начать и как?
Djoldas Kuldjanov, M.D.


----------- следущая часть -----------
Вложение не в текстовом формате было извлечено…
Имя     : 1 Periprosthetic IM nail pelvis.jpg
Тип     : image/jpeg
Размер  : 37530 байтов
Описание: отсутствует
Url     : http://weborto.net:8080/pipermail/ortho/attachments/20131212/b530b3ff/attachment-0009.jpg 
----------- следущая часть -----------
Вложение не в текстовом формате было извлечено…
Имя     : 2 Periprosthetic IM nail Lt femur.jpg
Тип     : image/jpeg
Размер  : 44216 байтов
Описание: отсутствует
Url     : http://weborto.net:8080/pipermail/ortho/attachments/20131212/b530b3ff/attachment-0010.jpg 
----------- следущая часть -----------
Вложение не в текстовом формате было извлечено…
Имя     : 3 Periprosthetic IM nail Lt femur 2.jpg
Тип     : image/jpeg
Размер  : 47863 байтов
Описание: отсутствует
Url     : http://weborto.net:8080/pipermail/ortho/attachments/20131212/b530b3ff/attachment-0011.jpg 
----------- следущая часть -----------
Вложение не в текстовом формате было извлечено…
Имя     : 5 Periprosthetic IM nail Lt femur 3.jpg
Тип     : image/jpeg
Размер  : 49733 байтов
Описание: отсутствует
Url     : http://weborto.net:8080/pipermail/ortho/attachments/20131212/b530b3ff/attachment-0012.jpg 
----------- следущая часть -----------
Вложение не в текстовом формате было извлечено…
Имя     : 6 Periprosthetic IM nail Rt femur.jpg
Тип     : image/jpeg
Размер  : 49510 байтов
Описание: отсутствует
Url     : http://weborto.net:8080/pipermail/ortho/attachments/20131212/b530b3ff/attachment-0013.jpg 
----------- следущая часть -----------
Вложение не в текстовом формате было извлечено…
Имя     : 7 Periprosthetic IM nail Rt femur 2.jpg
Тип     : image/jpeg
Размер  : 49579 байтов
Описание: отсутствует
Url     : http://weborto.net:8080/pipermail/ortho/attachments/20131212/b530b3ff/attachment-0014.jpg 
----------- следущая часть -----------
Вложение не в текстовом формате было извлечено…
Имя     : 8 Periprosthetic IM nail Rt femur 3.jpg
Тип     : image/jpeg
Размер  : 29789 байтов
Описание: отсутствует
Url     : http://weborto.net:8080/pipermail/ortho/attachments/20131212/b530b3ff/attachment-0015.jpg 
----------- следущая часть -----------
Вложение не в текстовом формате было извлечено…
Имя     : 9 Periprosthetic IM nail Rt femur 4.jpg
Тип     : image/jpeg
Размер  : 38061 байтов
Описание: отсутствует
Url     : http://weborto.net:8080/pipermail/ortho/attachments/20131212/b530b3ff/attachment-0016.jpg 
----------- следущая часть -----------
Вложение не в текстовом формате было извлечено…
Имя     : 10 Periprosthetic IM nail humerus 1.jpg
Тип     : image/jpeg
Размер  : 43649 байтов
Описание: отсутствует
Url     : http://weborto.net:8080/pipermail/ortho/attachments/20131212/b530b3ff/attachment-0017.jpg 


Подробная информация о списке рассылки Ortho