[Ortho] Последствия переломовывиха таранной кости

Бережной Сергей orthoforum на weborto.net
Пт Дек 13 21:43:54 YEKT 2013


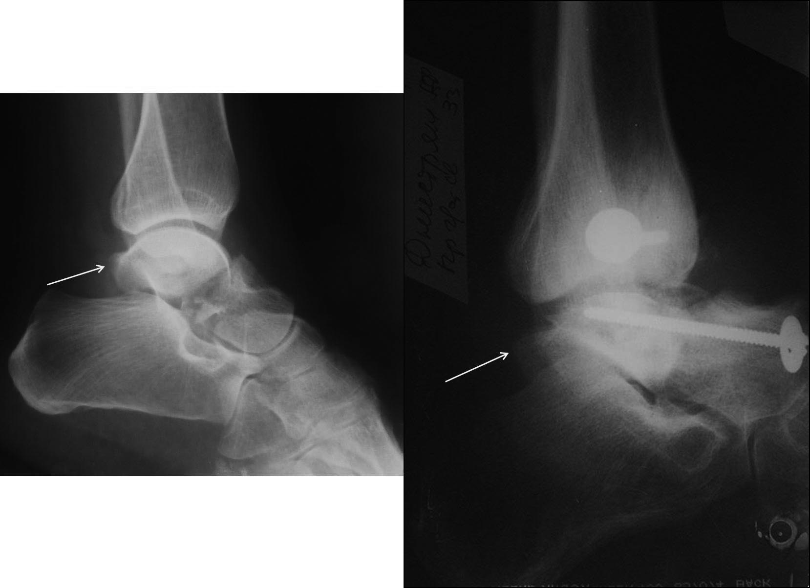
Вероятнее всего, речь изначально шла о не устраненном во время операции 
вывихе проксимального фрагмента таранной кости. Во вложении похожий 
случай, оперированный 10 дней назад (с послеоперационными снимками). Для 
сравнения стрелками на двух рентгенограммах показан нависающий над 
пяточной костью вывихнутый фрагмент таранной кости. На компьютерной 
томограмме видно гораздо лучше. Так что о живом подтаранном суставе при 
сохраняющемся подвывихе говорить не приходится. Кстати, остеотомия 
внутренней лодыжки в такой ситуации - нормальный этап доступа, который 
должен планироваться до операции, а не быть следствием "тяжелой 
репозиции". Сейчас же, судя по плотности проксимального фрагмента, нужно 
исключать асептический некроз таранной кости и ее несращение. От этого 
будет зависеть тактика. Без КТ не обойтись. Во всяком случае, артродез 
голеностопного сустава при несросшейся разрушающейся таранной кости 
точно не будет правильным решением.
Бережной Сергей


----------- следущая часть -----------
Вложение не в текстовом формате было извлечено…
Имя     : image001.jpg
Тип     : image/jpeg
Размер  : 83334 байтов
Описание: отсутствует
Url     : http://weborto.net:8080/pipermail/ortho/attachments/20131213/3a0f5942/attachment-0006.jpg 
----------- следущая часть -----------
Вложение не в текстовом формате было извлечено…
Имя     : image003.jpg
Тип     : image/jpeg
Размер  : 101523 байтов
Описание: отсутствует
Url     : http://weborto.net:8080/pipermail/ortho/attachments/20131213/3a0f5942/attachment-0007.jpg 
----------- следущая часть -----------
Вложение не в текстовом формате было извлечено…
Имя     : image005.jpg
Тип     : image/jpeg
Размер  : 50110 байтов
Описание: отсутствует
Url     : http://weborto.net:8080/pipermail/ortho/attachments/20131213/3a0f5942/attachment-0008.jpg 
----------- следущая часть -----------
Вложение не в текстовом формате было извлечено…
Имя     : image007.jpg
Тип     : image/jpeg
Размер  : 91965 байтов
Описание: отсутствует
Url     : http://weborto.net:8080/pipermail/ortho/attachments/20131213/3a0f5942/attachment-0009.jpg 
----------- следущая часть -----------
Вложение не в текстовом формате было извлечено…
Имя     : image009.jpg
Тип     : image/jpeg
Размер  : 87087 байтов
Описание: отсутствует
Url     : http://weborto.net:8080/pipermail/ortho/attachments/20131213/3a0f5942/attachment-0010.jpg 
----------- следущая часть -----------
Вложение не в текстовом формате было извлечено…
Имя     : image011.jpg
Тип     : image/jpeg
Размер  : 74240 байтов
Описание: отсутствует
Url     : http://weborto.net:8080/pipermail/ortho/attachments/20131213/3a0f5942/attachment-0011.jpg 


Подробная информация о списке рассылки Ortho