[Ortho]

Djoldas Kuldjanov, M.D. orthoforum weborto.net
15 12:07:01 YEKT 2013


>"/цифр гемоглобина и консультации нефролога”/

Цифры гемоглобина были низкими - около 7.5, но вовремя смогли 
коррегировать. Не было нужды консультации нефролога, потому что он 
постоянный клиент и по их  протоколу продолжается гемодиализ...

> /Вызвать "санавиацию" (то есть консультантов из области) на себя и постараться "сосватать" его в травмоцентр 1 уровня (то есть областную больницу), где есть гемодиализ, а там спокойно оперировать. (А то помрет не дождавшись...)/

Все таки конец года, ошибка заказа на фиксирующий материал в начале года 
дает о себе знать. До конца года осталось всего пара пластин и квоты на 
ВМП давно исчерпаны. Но смог пролоббировать интерес, переговорил с 
главным врачом. Обещает на будущий год увеличить обьем покупки гвоздей 
на 10 штук. За это представитель обещает всвозить на продвинутый АО курс 
Семенистого.

Для решения вопроса, как посоветовали коллеги, начали с консультации. 
Попытались связаться близкими центрами. Киргизы были заняты, не то 
вступлением в Евросоюз или очередным проведением Евро-Азиатского 
конгресса. А у родственников казахов точно такая ситуация, как в 
Америке, остался“неликвид”  из коротких пластин для детей. Узбеки 
попросили гонорар миллион сумов, но наш Обакэр принял решение только на 
пол миллиона долларов. Не поняли курс доллара к их валюте, который 
впоследствии оказался около 350 долларов, и перевод не состоялся. 
Украинцев не стали беспокоить, все, включая ортопедов, заняты, тянуть 
аркан“запад на восток”. Не стали обращаться к прибалтам, потому что, 
минуя Европу, не получится, вдруг не поймут. Склиф дал понять, что для 
получения разрешение на лечение иностранцам нужна регистрация в 
департаменте местной иммиграции и предварительно прислать свой ЭОП. 
Владивосток не входил в наш интерес, хотя могли рассчитывать на везение...

До остальных коллег не смогли дозвонится. Туркмены ушли в нейтралитет, 
отключились. В горах Таджикистана снег. Белорусам звонок из штатов не 
прошел, а Закавказские коллеги обещают всякую поддержку в консультациях.

Обратились главному специалисту по перипротезным переломам Челнокову в 
Екатеренбург. Его нашли в одной из северных стран. Лукративные 
(lucrative) условия, вид на жительство в Америку не принял, а насчет 
Европы - сказал, что они давно живут в Европе, и скоро Европа 
присоединится к России. А гонорар просил передать на острове, где сейчас 
живет Полонский. До конца года он запланировал лечить еще 28 
перипротезных переломов в 35 странах. На будущий год его график 
расписан, что возможно наша очередь подойдет в Марте во время ААОС. И 
еще одно условие, что мы должны забрать его из Йошкар-олы с его 
персональным ЭОП и рентген техником только прямым рейсом. Наш госдеп 
обещает решить проблему прямых рейсов и возможно скоро, на саммите глав 
государств.

Сам больной настроен на поездку и одноразовую визу, обещает, решил 
остаться до конца лечения, начал изучать язык... Для облегчения 
транспортировки на второй день после поступления правая сторона была 
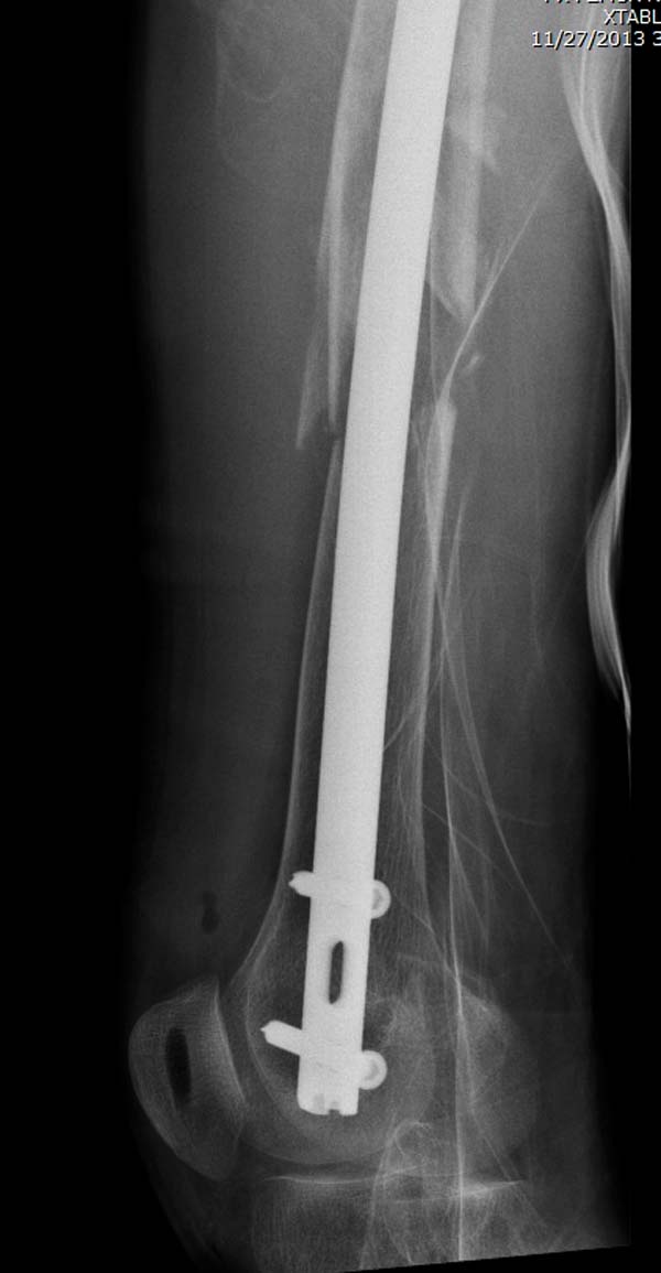
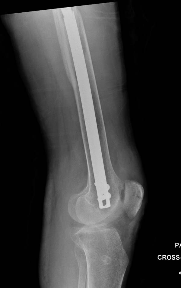
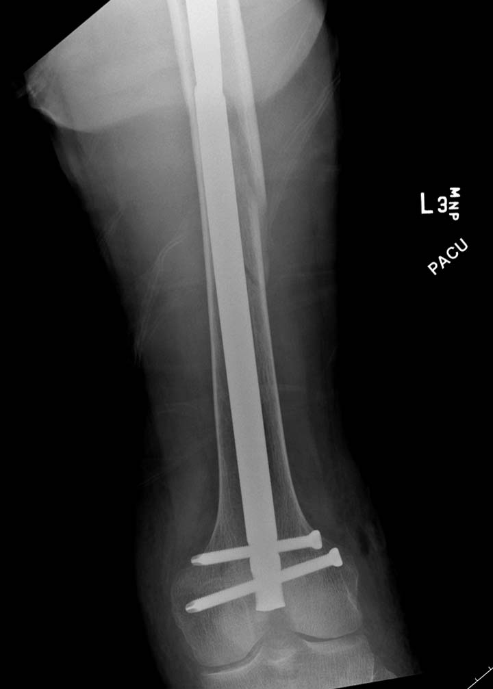
фиксирована ретроградным гвоздем.

Теперь по серьезному. Учитывая качество кости и низкий гемоглобин, 
периодический гемодиализ и воодушевленный результатом выступлении 
Челнокова, вместо пластины решил попробовать гвоздь. Но жесткие FDА 
условии не позволяют воспользоваться дивайсом до получения разрешения на 
пользование.
Наши операционные оснащены разными сверхскоростными алмазными и другими 
режущими инструментами типа Midas Rex. Но моя двухдневная ручная работа 
не дала результатов, и выемка для протеза получился неглубокой. Помогла 
смекалка, за бутылку наш русский токарь исправил глубину за пять минут. 
Гвоздь из ретроградного гвоздя DePuy в 15 мм получился немного тоньше, 
чем у Российских коллег.

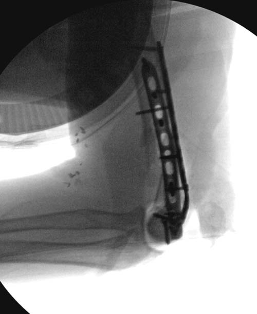
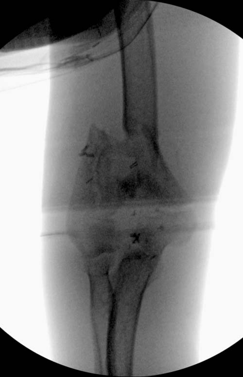
Операция не обошлась без казуса, при подготовке гвоздя произошла ошибка 
в расчете. Пришлось коррегигировать по ходу операции, где длинный 
дистальный отдел гвоздя срезали во время операции.
А так вроде первый американский опыт прошел удачно. У больного низкий 
гемоглобин, который подправили во время операции переливанием крови.


Через пару дней операция на дистальном плече. У него, кроме переломов 
бедра, имеется перелом позвонков, и нагрузку на конечность в ближайщее 
время не планируем. Для тонуса мышц бедра назначил электростимуляцию, 
надеюсь, контрагированные мышцы сохранит длину конечности. Контрольный 
снимок показал устойчивую фиксацию.

Djoldas Kuldjanov, M.D.

-----------   -----------
Вложение не в текстовом формате было извлечено…
Имя     : 4 Nail final.jpg
Тип     : image/jpeg
Размер  : 56949 байтов
Описание: отсутствует
Url     : http://weborto.net:8080/pipermail/ortho/attachments/20131215/c38e342e/attachment-0026.jpg 
-----------   -----------
Вложение не в текстовом формате было извлечено…
Имя     : 11 Periprosthetic IM nail Rt femur 5 final.jpg
Тип     : image/jpeg
Размер  : 44158 байтов
Описание: отсутствует
Url     : http://weborto.net:8080/pipermail/ortho/attachments/20131215/c38e342e/attachment-0027.jpg 
-----------   -----------
Вложение не в текстовом формате было извлечено…
Имя     : 12 Periprosthetic IM nail Rt femur 6 final.jpg
Тип     : image/jpeg
Размер  : 48856 байтов
Описание: отсутствует
Url     : http://weborto.net:8080/pipermail/ortho/attachments/20131215/c38e342e/attachment-0028.jpg 
-----------   -----------
Вложение не в текстовом формате было извлечено…
Имя     : 14 Periprosthetic IM nail Rt femur 8 final.jpg
Тип     : image/jpeg
Размер  : 54025 байтов
Описание: отсутствует
Url     : http://weborto.net:8080/pipermail/ortho/attachments/20131215/c38e342e/attachment-0029.jpg 
-----------   -----------
Вложение не в текстовом формате было извлечено…
Имя     : 16 Periprosthetic IM nail 2.jpg
Тип     : image/jpeg
Размер  : 38528 байтов
Описание: отсутствует
Url     : http://weborto.net:8080/pipermail/ortho/attachments/20131215/c38e342e/attachment-0030.jpg 
-----------   -----------
Вложение не в текстовом формате было извлечено…
Имя     : 17 Periprosthetic IM nail 3.jpg
Тип     : image/jpeg
Размер  : 37237 байтов
Описание: отсутствует
Url     : http://weborto.net:8080/pipermail/ortho/attachments/20131215/c38e342e/attachment-0031.jpg 
-----------   -----------
Вложение не в текстовом формате было извлечено…
Имя     : 21 Periprosthetic IM nail 7.jpg
Тип     : image/jpeg
Размер  : 46684 байтов
Описание: отсутствует
Url     : http://weborto.net:8080/pipermail/ortho/attachments/20131215/c38e342e/attachment-0032.jpg 
-----------   -----------
Вложение не в текстовом формате было извлечено…
Имя     : 23 Periprosthetic IM nail 9.jpg
Тип     : image/jpeg
Размер  : 38880 байтов
Описание: отсутствует
Url     : http://weborto.net:8080/pipermail/ortho/attachments/20131215/c38e342e/attachment-0033.jpg 
-----------   -----------
Вложение не в текстовом формате было извлечено…
Имя     : 25 Periprosthetic IM nail 11.jpg
Тип     : image/jpeg
Размер  : 38764 байтов
Описание: отсутствует
Url     : http://weborto.net:8080/pipermail/ortho/attachments/20131215/c38e342e/attachment-0034.jpg 
-----------   -----------
Вложение не в текстовом формате было извлечено…
Имя     : 28 Periprosthetic IM nail 14.jpg
Тип     : image/jpeg
Размер  : 41809 байтов
Описание: отсутствует
Url     : http://weborto.net:8080/pipermail/ortho/attachments/20131215/c38e342e/attachment-0035.jpg 
-----------   -----------
Вложение не в текстовом формате было извлечено…
Имя     : 30 Periprosthetic IM nail 16.jpg
Тип     : image/jpeg
Размер  : 44144 байтов
Описание: отсутствует
Url     : http://weborto.net:8080/pipermail/ortho/attachments/20131215/c38e342e/attachment-0036.jpg 
-----------   -----------
Вложение не в текстовом формате было извлечено…
Имя     : 31 Periprosthetic IM nail 17.jpg
Тип     : image/jpeg
Размер  : 66172 байтов
Описание: отсутствует
Url     : http://weborto.net:8080/pipermail/ortho/attachments/20131215/c38e342e/attachment-0037.jpg 
-----------   -----------
Вложение не в текстовом формате было извлечено…
Имя     : 32 Periprosthetic IM nail 18.jpg
Тип     : image/jpeg
Размер  : 56493 байтов
Описание: отсутствует
Url     : http://weborto.net:8080/pipermail/ortho/attachments/20131215/c38e342e/attachment-0038.jpg 
-----------   -----------
Вложение не в текстовом формате было извлечено…
Имя     : 34 Periprosthetic IM nail 20.jpg
Тип     : image/jpeg
Размер  : 53433 байтов
Описание: отсутствует
Url     : http://weborto.net:8080/pipermail/ortho/attachments/20131215/c38e342e/attachment-0039.jpg 
-----------   -----------
Вложение не в текстовом формате было извлечено…
Имя     : 35 Periprosthetic IM nail 21.jpg
Тип     : image/jpeg
Размер  : 53218 байтов
Описание: отсутствует
Url     : http://weborto.net:8080/pipermail/ortho/attachments/20131215/c38e342e/attachment-0040.jpg 
-----------   -----------
Вложение не в текстовом формате было извлечено…
Имя     : 36 Periprosthetic IM nail 22 final.jpg
Тип     : image/jpeg
Размер  : 43045 байтов
Описание: отсутствует
Url     : http://weborto.net:8080/pipermail/ortho/attachments/20131215/c38e342e/attachment-0041.jpg 
-----------   -----------
Вложение не в текстовом формате было извлечено…
Имя     : 37 Periprosthetic IM nail 23 final.jpg
Тип     : image/jpeg
Размер  : 40694 байтов
Описание: отсутствует
Url     : http://weborto.net:8080/pipermail/ortho/attachments/20131215/c38e342e/attachment-0042.jpg 
-----------   -----------
Вложение не в текстовом формате было извлечено…
Имя     : 38 Periprosthetic IM nail 25 final.jpg
Тип     : image/jpeg
Размер  : 38508 байтов
Описание: отсутствует
Url     : http://weborto.net:8080/pipermail/ortho/attachments/20131215/c38e342e/attachment-0043.jpg 
-----------   -----------
Вложение не в текстовом формате было извлечено…
Имя     : 39 Periprosthetic distal humerus.jpg
Тип     : image/jpeg
Размер  : 37792 байтов
Описание: отсутствует
Url     : http://weborto.net:8080/pipermail/ortho/attachments/20131215/c38e342e/attachment-0044.jpg 
-----------   -----------
Вложение не в текстовом формате было извлечено…
Имя     : 40 Periprosthetic distal humerus.jpg
Тип     : image/jpeg
Размер  : 33764 байтов
Описание: отсутствует
Url     : http://weborto.net:8080/pipermail/ortho/attachments/20131215/c38e342e/attachment-0045.jpg 
-----------   -----------
Вложение не в текстовом формате было извлечено…
Имя     : 42 Periprosthetic distal humerus.jpg
Тип     : image/jpeg
Размер  : 33322 байтов
Описание: отсутствует
Url     : http://weborto.net:8080/pipermail/ortho/attachments/20131215/c38e342e/attachment-0046.jpg 
-----------   -----------
Вложение не в текстовом формате было извлечено…
Имя     : 43 Periprosthetic distal humerus.jpg
Тип     : image/jpeg
Размер  : 59775 байтов
Описание: отсутствует
Url     : http://weborto.net:8080/pipermail/ortho/attachments/20131215/c38e342e/attachment-0047.jpg 
-----------   -----------
Вложение не в текстовом формате было извлечено…
Имя     : Nail 0.jpg
Тип     : image/jpeg
Размер  : 25343 байтов
Описание: отсутствует
Url     : http://weborto.net:8080/pipermail/ortho/attachments/20131215/c38e342e/attachment-0048.jpg 
-----------   -----------
Вложение не в текстовом формате было извлечено…
Имя     : Nail 1.jpg
Тип     : image/jpeg
Размер  : 96160 байтов
Описание: отсутствует
Url     : http://weborto.net:8080/pipermail/ortho/attachments/20131215/c38e342e/attachment-0049.jpg 
-----------   -----------
Вложение не в текстовом формате было извлечено…
Имя     : Nail 2.jpg
Тип     : image/jpeg
Размер  : 66088 байтов
Описание: отсутствует
Url     : http://weborto.net:8080/pipermail/ortho/attachments/20131215/c38e342e/attachment-0050.jpg 
-----------   -----------
Вложение не в текстовом формате было извлечено…
Имя     : Nail 3.jpg
Тип     : image/jpeg
Размер  : 99251 байтов
Описание: отсутствует
Url     : http://weborto.net:8080/pipermail/ortho/attachments/20131215/c38e342e/attachment-0051.jpg 


Ortho