[Ortho] , .

VlaD orthoforum weborto.net
24 20:16:58 YEKT 2013


Здравствуйте, уважаемые коллеги.
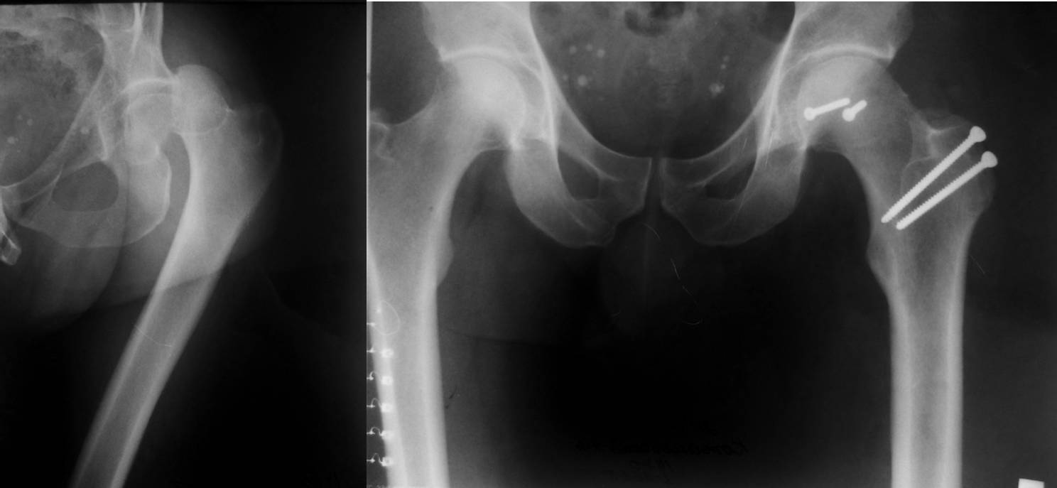
Поскольку имеется перелом края вертлужной впадины, перелом относится к 
типу Pipkin IV. Ну, это так, к слову. Больной до шестидесяти лет, 
поэтому методом выбора должна быть открытая репозиция перелома, 
остеосинтез винтами. Головки винтов должны быть заглублены ниже уровня 
суставного хряща. Нет на представленной КТ срезов в корональной 
плоскости, поэтому невозможно точно определить имеющийся дефект 
задневерхнего края вертлужной впадины и, следовательно, необходимость 
репозиции и фиксации её отломанного фрагмента. Лучшим доступом в данном 
случае является латеральный доступ с отсечением большого вертела по Ganz 
  с вывихом головки бедренной кости в рану. Доступ позволяет не только 
без проблем выполнить репозицию и фиксацию не только перелома головки 
бедренной кости,  но и края вертлужной впадины в случае необходимости. 
Доступ подробно описан в«Rockwood And Green's Fractures In Adults». Один 
случай из личного опыта, когда использовался этот доступ–  во вложенном 
файле.
С уважением, VlaD.

VlaD

-----------   -----------
Вложение не в текстовом формате было извлечено…
Имя     : Pipkin IV.jpg
Тип     : image/jpeg
Размер  : 49165 байтов
Описание: отсутствует
Url     : http://weborto.net:8080/pipermail/ortho/attachments/20131224/45ba7094/attachment-0001.jpg 


Ortho