[Ortho] Первый опыт применения Стержня Фикшн в отделении

Канзюба Максим orthoforum на weborto.net
Вт Дек 31 04:23:39 YEKT 2013


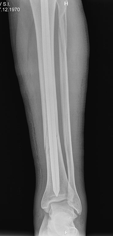
Уважаемые коллеги, по просьбе официального представителя компании FIXION 
в Украине -представляем вашему вниманию клинический случай перелома 42 
A1 (для нас этот случай вызвал интерес в связи с достаточно низким 
расположением линии перелома большеберцовой кости и
отсутствием у нас опыта применения FIXION).

Пациент 1970г.р., соматически здоров.
Непрямой механизм травмы, низкая энергия. Операция на 7е сутки. 
Интраоперационно использовали дистрактор.

Возникали сомнения в достижении стабильной фиксации
дистального фрагмента без блокировки винтами. Итог - синтез стабильный, 
дозированная нагрузка с первого дня. Результаты представлены на 
рентгенограммах.
С уважением,
Максим Канзюба.


----------- следущая часть -----------
Вложение не в текстовом формате было извлечено…
Имя     : 5a.jpg
Тип     : image/jpeg
Размер  : 31920 байтов
Описание: отсутствует
Url     : http://weborto.net:8080/pipermail/ortho/attachments/20131231/cd911c17/attachment-0001.jpg 


Подробная информация о списке рассылки Ortho