[Ortho] Острый гематогенный остеомиелит головки бедра и ребенка

Миронов Андрей orthoforum на weborto.net
Вс Фев 3 00:25:04 YEKT 2013


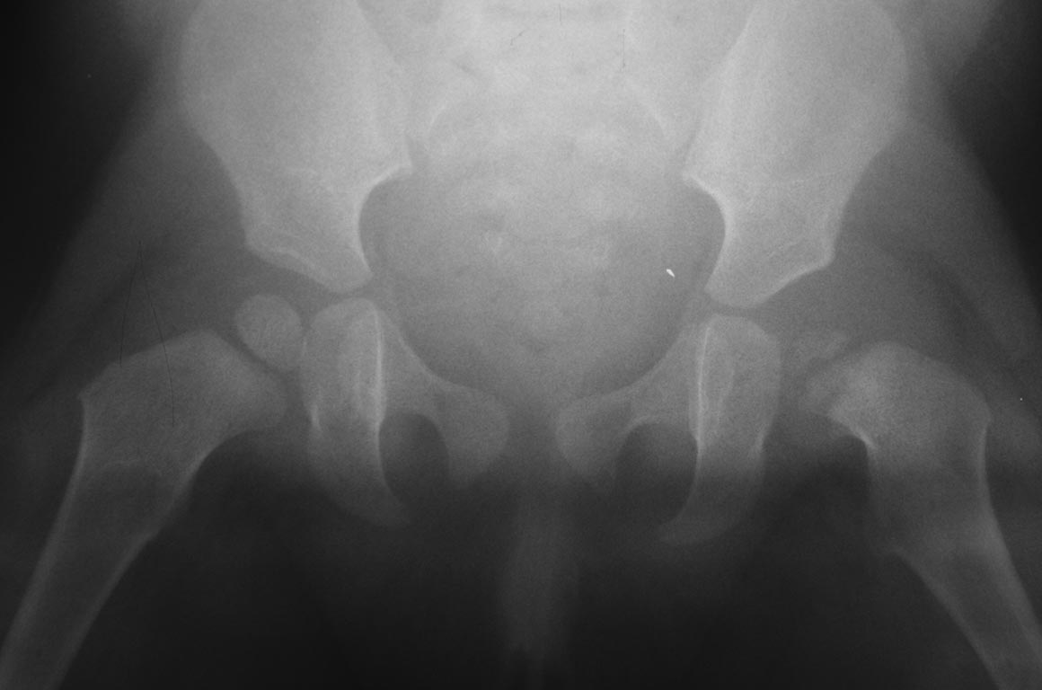
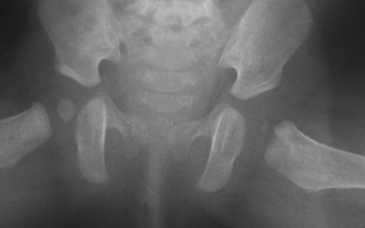
Добрый вечер уважаемые коллеги. Помогите советом, в какую клинику и к 
кому обратится с данной проблемой( у ребенка в возрасте 1мес. 
диагностирован гематогенный остеомиелит головки бедра). Лечили 
консервативно( выписку и фото в динамике прилагаю). На сегодняшний день
ребенку 11 мес. Детские ортопеды по месту сомневаются в тактике( в плане 
операции или выжидательная тактика). Хотелось проконсультироваться с 
теми кто занимается этой проблемой. Заранее спасибо.
С ув. Андрей



----------- следущая часть -----------
Вложение не в текстовом формате было извлечено…
Имя     : 02.05.12.jpg
Тип     : image/jpeg
Размер  : 77474 байтов
Описание: отсутствует
Url     : http://weborto.net:8080/pipermail/ortho/attachments/20130203/7cbe9b40/attachment-0007.jpg 
----------- следущая часть -----------
Вложение не в текстовом формате было извлечено…
Имя     : 2.JPG
Тип     : image/jpeg
Размер  : 129269 байтов
Описание: отсутствует
Url     : http://weborto.net:8080/pipermail/ortho/attachments/20130203/7cbe9b40/attachment-0004.jpeg 
----------- следущая часть -----------
Вложение не в текстовом формате было извлечено…
Имя     : 3.07.12-1.jpg
Тип     : image/jpeg
Размер  : 70748 байтов
Описание: отсутствует
Url     : http://weborto.net:8080/pipermail/ortho/attachments/20130203/7cbe9b40/attachment-0008.jpg 
----------- следущая часть -----------
Вложение не в текстовом формате было извлечено…
Имя     : 3.07.12.jpg
Тип     : image/jpeg
Размер  : 38628 байтов
Описание: отсутствует
Url     : http://weborto.net:8080/pipermail/ortho/attachments/20130203/7cbe9b40/attachment-0009.jpg 
----------- следущая часть -----------
Вложение не в текстовом формате было извлечено…
Имя     : 3.JPG
Тип     : image/jpeg
Размер  : 102883 байтов
Описание: отсутствует
Url     : http://weborto.net:8080/pipermail/ortho/attachments/20130203/7cbe9b40/attachment-0005.jpeg 
----------- следущая часть -----------
Вложение не в текстовом формате было извлечено…
Имя     : 4.JPG
Тип     : image/jpeg
Размер  : 121397 байтов
Описание: отсутствует
Url     : http://weborto.net:8080/pipermail/ortho/attachments/20130203/7cbe9b40/attachment-0006.jpeg 
----------- следущая часть -----------
Вложение не в текстовом формате было извлечено…
Имя     : 22.10.12.jpg
Тип     : image/jpeg
Размер  : 53631 байтов
Описание: отсутствует
Url     : http://weborto.net:8080/pipermail/ortho/attachments/20130203/7cbe9b40/attachment-0010.jpg 
----------- следущая часть -----------
Вложение не в текстовом формате было извлечено…
Имя     : 28.01.13-1.jpg
Тип     : image/jpeg
Размер  : 65543 байтов
Описание: отсутствует
Url     : http://weborto.net:8080/pipermail/ortho/attachments/20130203/7cbe9b40/attachment-0011.jpg 
----------- следущая часть -----------
Вложение не в текстовом формате было извлечено…
Имя     : 28.01.13.jpg
Тип     : image/jpeg
Размер  : 68506 байтов
Описание: отсутствует
Url     : http://weborto.net:8080/pipermail/ortho/attachments/20130203/7cbe9b40/attachment-0012.jpg 
----------- следущая часть -----------
Вложение не в текстовом формате было извлечено…
Имя     : 111.jpg
Тип     : image/jpeg
Размер  : 51147 байтов
Описание: отсутствует
Url     : http://weborto.net:8080/pipermail/ortho/attachments/20130203/7cbe9b40/attachment-0013.jpg 
----------- следущая часть -----------
Вложение не в текстовом формате было извлечено…
Имя     : TEXT.JPG
Тип     : image/jpeg
Размер  : 195013 байтов
Описание: отсутствует
Url     : http://weborto.net:8080/pipermail/ortho/attachments/20130203/7cbe9b40/attachment-0007.jpeg 


Подробная информация о списке рассылки Ortho