[Ortho] Хондропатия пяточной кости

Юрий Алексеевич Булахтин orthoforum на weborto.net
Чт Фев 7 08:00:44 YEKT 2013


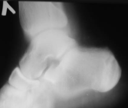
    Уважаемый Николай Александрович Корышков, спасибо за проявленное 
внимание к  случаю. Выкладываю снимки и томограммы левой пятки и 
контрлатеральную, здоровую. Пациенту 19 лет, беспокоят ноющие боли. 
Лечили блокадами и физиопроцедурами.

Юрий Алексеевич Булахтин
Камчатский Военно-морской госпиталь

----------- следущая часть -----------
Вложение не в текстовом формате было извлечено…
Имя     : вПЛПЧПК МЕЧБС УФПРБ.JPG
Тип     : image/jpeg
Размер  : 21967 байтов
Описание: отсутствует
Url     : http://weborto.net:8080/pipermail/ortho/attachments/20130207/2204aa80/attachment.jpe 
----------- следущая часть -----------
Вложение не в текстовом формате было извлечено…
Имя     : вПЛПЧПК РТБЧБС УФПРБ.JPG
Тип     : image/jpeg
Размер  : 26135 байтов
Описание: отсутствует
Url     : http://weborto.net:8080/pipermail/ortho/attachments/20130207/2204aa80/attachment-0004.jpeg 
----------- следущая часть -----------
Вложение не в текстовом формате было извлечено…
Имя     : фПНПЗТБННБ 1.JPG
Тип     : image/jpeg
Размер  : 27210 байтов
Описание: отсутствует
Url     : http://weborto.net:8080/pipermail/ortho/attachments/20130207/2204aa80/attachment-0005.jpeg 
----------- следущая часть -----------
Вложение не в текстовом формате было извлечено…
Имя     : фПНПЗТБННБ 2.JPG
Тип     : image/jpeg
Размер  : 25186 байтов
Описание: отсутствует
Url     : http://weborto.net:8080/pipermail/ortho/attachments/20130207/2204aa80/attachment-0006.jpeg 


Подробная информация о списке рассылки Ortho