[Ortho] киста или саркома - помощь в лечении

Сергей Миронов orthoforum на weborto.net
Пн Фев 11 12:36:36 YEKT 2013


Уважаемые коллеги,
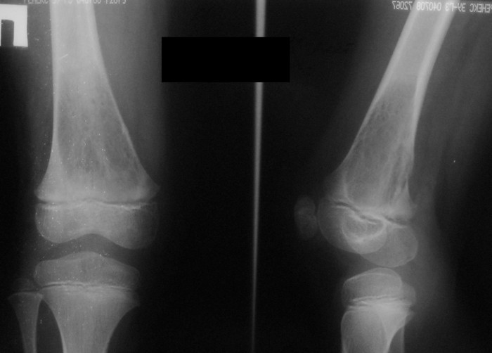
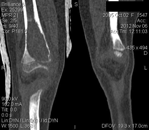
   3 месяца назад в отделении была прооперирована девочка 7 лет с 
клинико- рентгенологической картиной аневризмальной кисты (открытая 
биопсия). Гистологическое заключение местных гистологов и ФНКЦ им. Д. 
Рогачева -аневризмальная киста. 2 недели назад девочка взята на костную
пластику - на операции полный лизис костной ткани циркулярно на 
протяжении 10 см от эпифиза на 10 проксимальней и массивное 
артериовенозное крововтечение из оставшейся надкостницы .
Операция закончена наложением стержневого аппарата и остановкой 
кровотечения тахокомбом, тампонадой мышцами. Повторная гистология 
неоднозначна. ФНКЦ им. Д. Рогачева дает прежний результат , ФГБУ РОНЦ НН 
Блохина -телеангиэктатическая остеосаркома, онкологи из института 
Герцена - киста .Как быть дальше. Кому верить и что делать? Заранее
благодарен.
Сергей Миронов
детская областная больница


----------- следущая часть -----------
Вложение не в текстовом формате было извлечено…
Имя     : 1.jpg
Тип     : image/jpeg
Размер  : 61149 байтов
Описание: отсутствует
Url     : http://weborto.net:8080/pipermail/ortho/attachments/20130211/bea1532d/attachment-0004.jpg 
----------- следущая часть -----------
Вложение не в текстовом формате было извлечено…
Имя     : 10001.jpg
Тип     : image/jpeg
Размер  : 32474 байтов
Описание: отсутствует
Url     : http://weborto.net:8080/pipermail/ortho/attachments/20130211/bea1532d/attachment-0005.jpg 
----------- следущая часть -----------
Вложение не в текстовом формате было извлечено…
Имя     : 10005.jpg
Тип     : image/jpeg
Размер  : 33643 байтов
Описание: отсутствует
Url     : http://weborto.net:8080/pipermail/ortho/attachments/20130211/bea1532d/attachment-0006.jpg 
----------- следущая часть -----------
Вложение не в текстовом формате было извлечено…
Имя     : 10007.jpg
Тип     : image/jpeg
Размер  : 38643 байтов
Описание: отсутствует
Url     : http://weborto.net:8080/pipermail/ortho/attachments/20130211/bea1532d/attachment-0007.jpg 


Подробная информация о списке рассылки Ortho