[Ortho] Атрофия плечевой кости

Борис orthoforum на weborto.net
Вт Фев 12 21:21:22 YEKT 2013


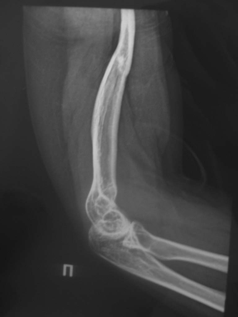
Игорь Владимирович . Пишу подробно. Больная травму получила в детстве (в 
1996г) . Через год после травмы было подозрение на опухоль головки плеча 
(со слов больного), оперирована - резекция опухоли, артродез правого 
плечевого сустава с перемещением аутотрансплантата из малоберцовой 
кости.  Послеоперационный период спокойный. Со слов больной, артродез 
состоялся. Года 3 назад почувствовала боль. (ударилась). В настоящая 
время движенией в плечевом сустава нет. В локтевом и лучезапястном 
суставах движения не ограничены, в полном объеме.   Функция предплечья в 
норме.  Выложу рентгеновские снимки локтевого сустава. Спасибо за совет.
Борис

----------- следущая часть -----------
Вложение не в текстовом формате было извлечено…
Имя     : IMG_0466.JPG
Тип     : image/jpeg
Размер  : 37778 байтов
Описание: отсутствует
Url     : http://weborto.net:8080/pipermail/ortho/attachments/20130212/317bcd11/attachment-0001.jpe 


Подробная информация о списке рассылки Ortho