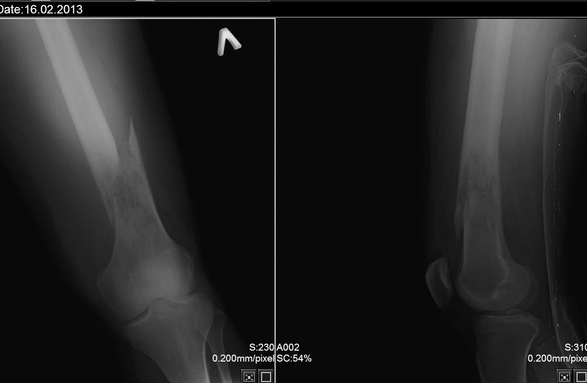
[Ortho] остеогенная саркома бедра?

Пименов Владимир orthoforum на weborto.net
Пн Фев 18 09:00:25 YEKT 2013


Уважаемые коллеги! Прошу высказать свое мнение и порекомендовать тактику.

16.02.13поступил молодой человек 26 лет с переломом бедра.Травма при 
падении на улице.
Ранее отмечал боли в коленном суставе поврежденной , лечился у 
ревматолога с синовитом. В настоящее время проводится ДСВ. Хотелось бы 
узнать мнения о диагнозе и где лучше оперировать такого пациента.
Пименов Владимир

----------- следущая часть -----------
Вложение не в текстовом формате было извлечено…
Имя     : 1.jpg
Тип     : image/jpeg
Размер  : 51111 байтов
Описание: отсутствует
Url     : http://weborto.net:8080/pipermail/ortho/attachments/20130218/3517488e/attachment-0001.jpg 


Подробная информация о списке рассылки Ortho