[Ortho] Удаление стержня

"Абдурашид" orthoforum на weborto.net
Вт Янв 8 17:41:47 YEKT 2013


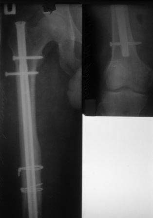
   Уважаемые коллеги, обратился пациент 1978г.р. для удаления и/м  стержня из  правого бедра, оперирован в 2008 году в городе Ангарск, Иркутской  обл. Честно признаться, я не знаю такого стержня, и как его удалить, кажется, он еще сильно зажат в обл.истмуса, больной настаивает на удалении!
   Если у кого есть опыт поделитесь пожалуйста!
С уважением Абдурашид.
----------- следущая часть -----------
Вложение в формате HTML было извлечено…
URL: http://weborto.net:8080/pipermail/ortho/attachments/20130108/fa2dd3d2/attachment-0001.html 
----------- следущая часть -----------
Вложение не в текстовом формате было извлечено…
Имя     : 2013-01-08-558.jpg
Тип     : image/jpg
Размер  : 23866 байтов
Описание: отсутствует
Url     : http://weborto.net:8080/pipermail/ortho/attachments/20130108/fa2dd3d2/attachment-0001.jpg 


Подробная информация о списке рассылки Ortho