[Ortho] Дайте добрый совет коллеги плиз - вывих акромиального конца ключицы

"Сергей Дукер" orthoforum на weborto.net
Пт Янв 11 16:01:12 YEKT 2013


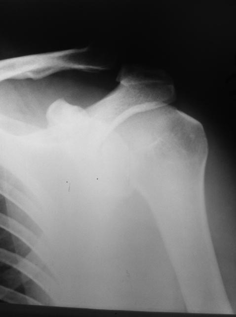
Травма в результате падения на лыжах 4.01.2013Мнения коллег разошлись.Стоит
оперироваться или можно обойтись консервативно?


Сергей Дукер
----------- следущая часть -----------
Вложение не в текстовом формате было извлечено…
Имя     : K.JPG
Тип     : image/jpg
Размер  : 31963 байтов
Описание: отсутствует
Url     : http://weborto.net:8080/pipermail/ortho/attachments/20130111/d6206034/attachment-0001.jpg 


Подробная информация о списке рассылки Ortho