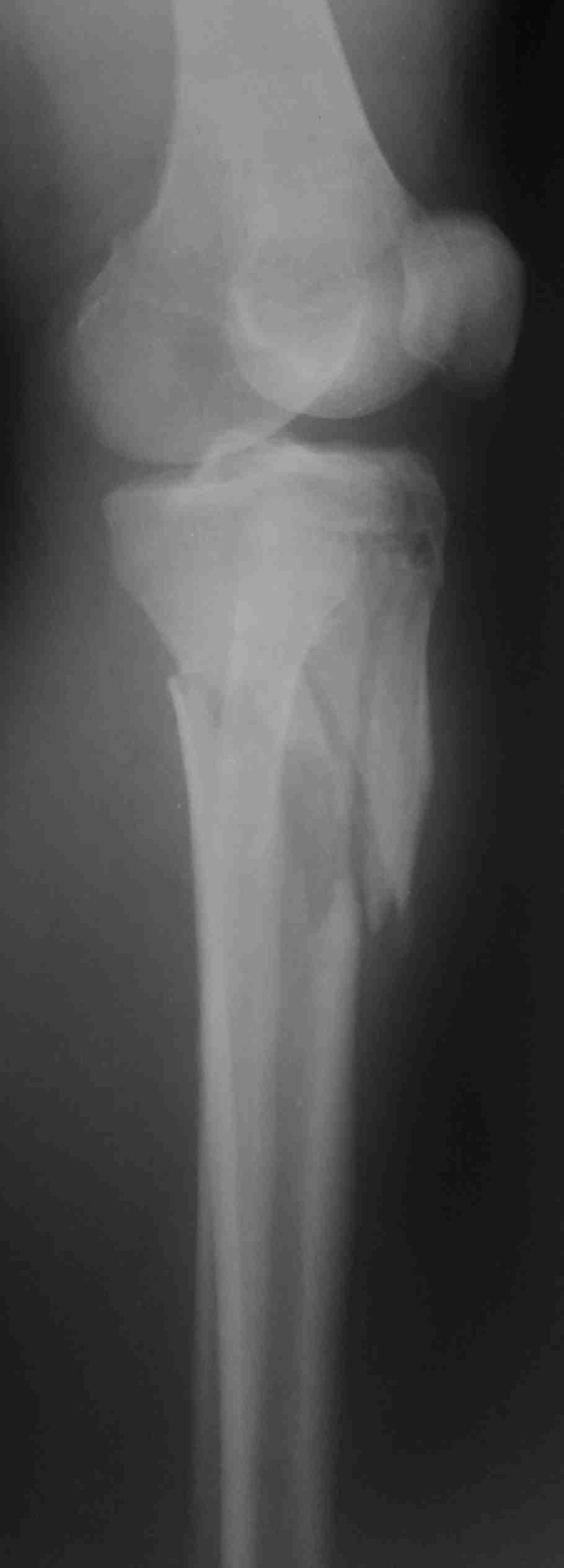
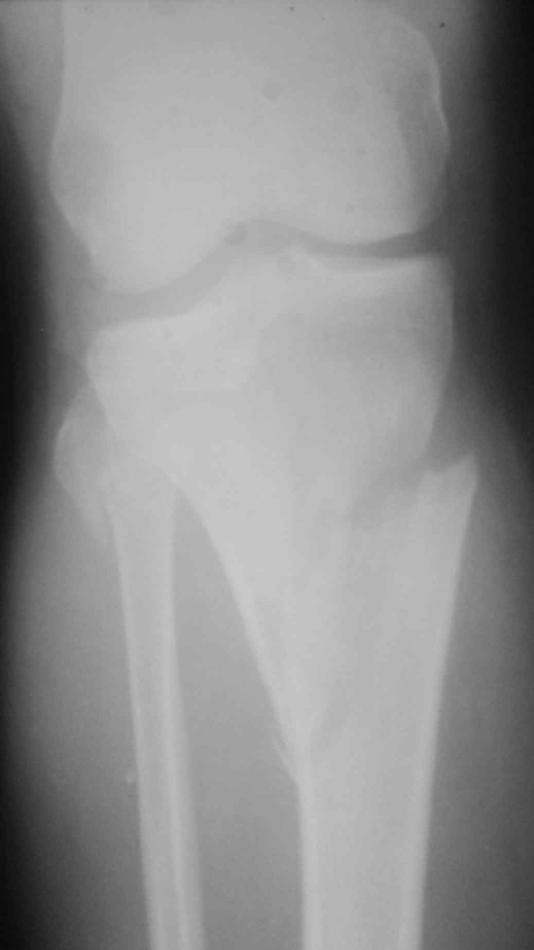
[Ortho] Перелом верхней трети костей голени

Maxim Agalakov orthoforum на weborto.net
Пт Янв 11 16:05:59 YEKT 2013


Похожий случай, вчера прооперировали. Непрямая репозиция, малоинвазивный остеосинтез без обнажения зоны перелома.
Maxim Agalakov
----------- следущая часть -----------
Вложение в формате HTML было извлечено…
URL: http://weborto.net:8080/pipermail/ortho/attachments/20130111/2ca314f4/attachment-0001.htm 
----------- следущая часть -----------
Вложение не в текстовом формате было извлечено…
Имя     : 20130111_085829.jpg
Тип     : image/jpg
Размер  : 44085 байтов
Описание: отсутствует
Url     : http://weborto.net:8080/pipermail/ortho/attachments/20130111/2ca314f4/attachment-0004.jpg 
----------- следущая часть -----------
Вложение не в текстовом формате было извлечено…
Имя     : 20130111_085732.jpg
Тип     : image/jpg
Размер  : 44386 байтов
Описание: отсутствует
Url     : http://weborto.net:8080/pipermail/ortho/attachments/20130111/2ca314f4/attachment-0005.jpg 
----------- следущая часть -----------
Вложение не в текстовом формате было извлечено…
Имя     : 20130111_085750.jpg
Тип     : image/jpg
Размер  : 44442 байтов
Описание: отсутствует
Url     : http://weborto.net:8080/pipermail/ortho/attachments/20130111/2ca314f4/attachment-0006.jpg 
----------- следущая часть -----------
Вложение не в текстовом формате было извлечено…
Имя     : 20130111_085814.jpg
Тип     : image/jpg
Размер  : 37522 байтов
Описание: отсутствует
Url     : http://weborto.net:8080/pipermail/ortho/attachments/20130111/2ca314f4/attachment-0007.jpg 


Подробная информация о списке рассылки Ortho