[Ortho] Перелом бедра

"АДАМ" orthoforum на weborto.net
Пт Янв 18 18:05:07 YEKT 2013


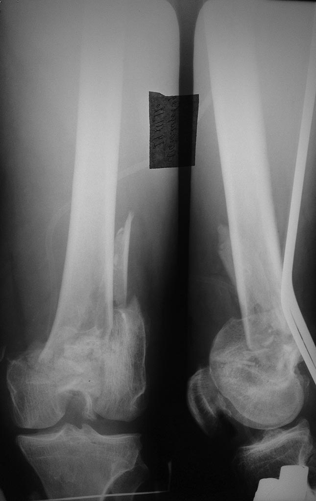
Помогите определиться с тактикой и объемом оперативного вмешательства,пациент мужчина 55
лет травма получена в ДТП 21.12.12г
АДАМ


----------- следущая часть -----------
Вложение в формате HTML было извлечено…
URL: http://weborto.net:8080/pipermail/ortho/attachments/20130118/c4622f57/attachment-0001.htm 
----------- следущая часть -----------
Вложение не в текстовом формате было извлечено…
Имя     : IMAG0167.jpg
Тип     : image/jpg
Размер  : 63773 байтов
Описание: отсутствует
Url     : http://weborto.net:8080/pipermail/ortho/attachments/20130118/c4622f57/attachment-0001.jpg 


Подробная информация о списке рассылки Ortho