[Ortho] еще одна стопа (продолжение)

maxim agalakov orthoforum на weborto.net
Сб Янв 19 11:24:44 YEKT 2013


продолжение темы http://weborto.net/forum/1356148170/index_html

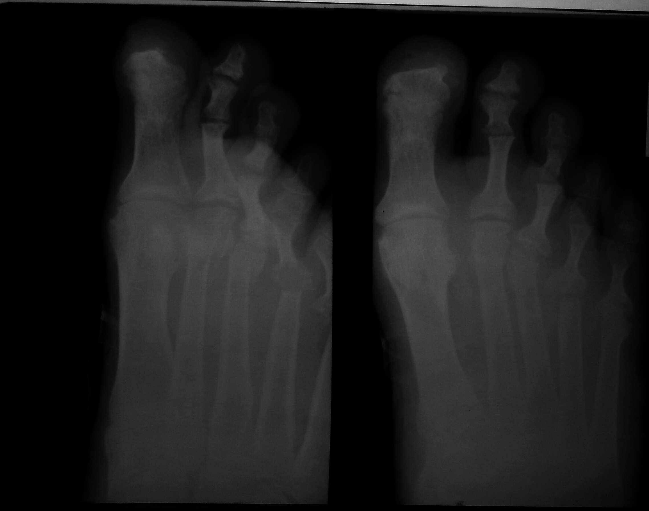
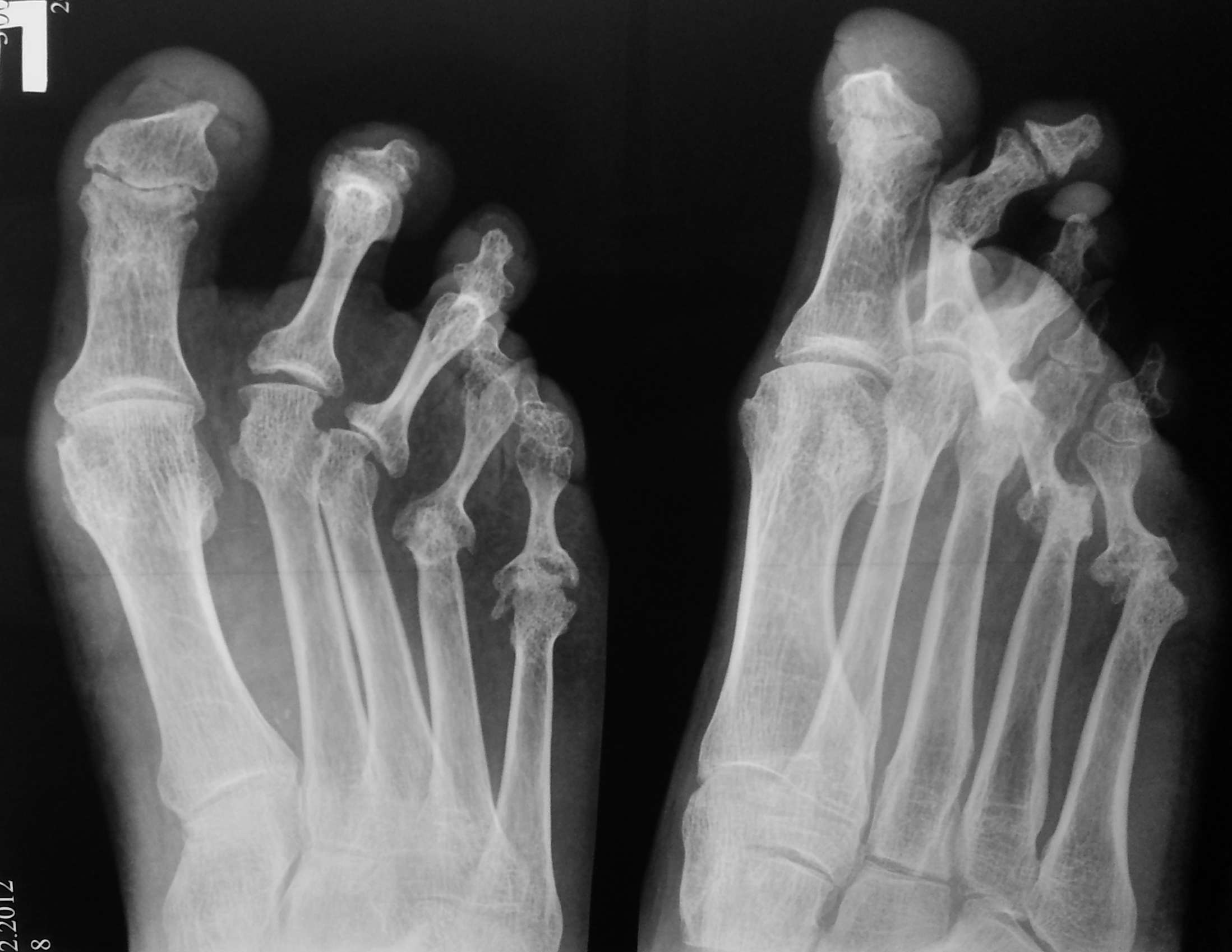
Послеоперационные снимки (извините за качество), выполнены: Weil - 2,3, резекция головки -
3, резекция проксимальных м/ф суставов(костный анкилоз). Действительно, в первом пальце
есть переразгибание, но - не ригидное, пациент на нем вмешиваться отказался. В приложении -
предоп рентген в качестве получше и постоп (еще раз сожалею за качество, постараюсь позже
выслать получше) Спасибо за советы, надеюсь пригодились.
maxim agalakov
----------- следущая часть -----------
Вложение в формате HTML было извлечено…
URL: http://weborto.net:8080/pipermail/ortho/attachments/20130119/cf469aa2/attachment-0001.htm 
----------- следущая часть -----------
Вложение не в текстовом формате было извлечено…
Имя     : 20130117_145919-1.jpg
Тип     : image/jpg
Размер  : 60006 байтов
Описание: отсутствует
Url     : http://weborto.net:8080/pipermail/ortho/attachments/20130119/cf469aa2/attachment-0002.jpg 
----------- следущая часть -----------
Вложение не в текстовом формате было извлечено…
Имя     : 20130117_150121.jpg
Тип     : image/jpg
Размер  : 150886 байтов
Описание: отсутствует
Url     : http://weborto.net:8080/pipermail/ortho/attachments/20130119/cf469aa2/attachment-0003.jpg 


Подробная информация о списке рассылки Ortho