[Ortho] Аваскулярный некроз таранной кости

"Антон Андрианов" orthoforum на weborto.net
Сб Янв 19 11:30:49 YEKT 2013


Выбор хирургической тактики

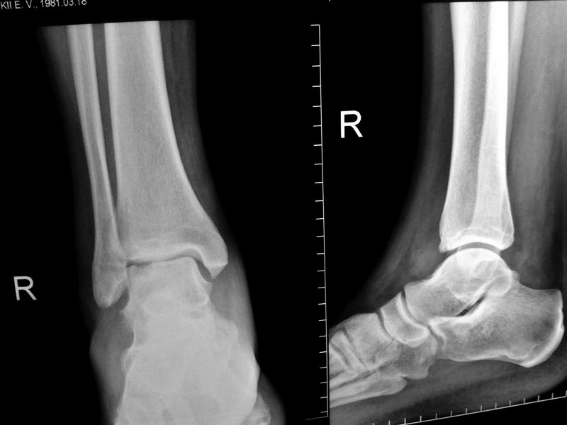
У 40-летнего мужчины около 3 месяцев появляются боли и отек в правом голеностопном
суставе.Травмы, перегрузки, спорт и вредные привычки отрицает. На Рграммах 2 месячной
давности патология стопы не видна\качество снимков низкое\ На свежих снимках виден
глубокий некроз блока тарана.Отек, хромота и боли стихают после терапии НПВП. Выбираем
тактику- открытая артротомия латеральным доступом с остеотомией лодыжки и костная
аутопластика после кюретажа. Вторым вариантом видится артроскопическая ревизия сустава,
остеоперфорация дрелью под визуальным контролем и 8 недель разгрузки сустава в
АВФ.Патология досточно редкая и буду признателен за совет коллег, кто уже работал с такими
пациентами.
Антон Андрианов
----------- следущая часть -----------
Вложение в формате HTML было извлечено…
URL: http://weborto.net:8080/pipermail/ortho/attachments/20130119/f98b75f4/attachment-0001.htm 
----------- следущая часть -----------
Вложение не в текстовом формате было извлечено…
Имя     : фБТБО 1 2013.jpg
Тип     : image/jpg
Размер  : 60622 байтов
Описание: отсутствует
Url     : http://weborto.net:8080/pipermail/ortho/attachments/20130119/f98b75f4/attachment-0001.jpg 


Подробная информация о списке рассылки Ortho