[Ortho] Реостеосинтез?

Юрий Алексеевич Булахтин orthoforum на weborto.net
Пн Янв 21 16:24:10 YEKT 2013


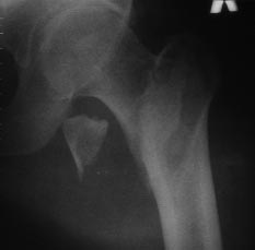
    Уважаемые коллеги!

На консультацию пришел больной 44-х лет (снимки 1 и 2): упал на улице 
26.11.2012г., оперирован в одном из лечебных учреждений 26.11.2012. 
Сделали контрольные рентгенограммы и КТ. Хотели-бы обсудить варианты 
оперативного лечения: DHS или БИОС?

    С уважением и наилучшими пожеланиями,
Юрий Алексеевич Булахтин
Камчатский Военно-морской госпиталь

----------- следущая часть -----------
Вложение не в текстовом формате было извлечено…
Имя     : 1 фТБЧНБ 26.11.2012.jpg
Тип     : image/jpeg
Размер  : 20097 байтов
Описание: отсутствует
Url     : http://weborto.net:8080/pipermail/ortho/attachments/20130121/1122b3fc/attachment-0005.jpg 
----------- следущая часть -----------
Вложение не в текстовом формате было извлечено…
Имя     : 2 пРЕТБГИ?С 26.11.2012.jpg
Тип     : image/jpeg
Размер  : 21220 байтов
Описание: отсутствует
Url     : http://weborto.net:8080/pipermail/ortho/attachments/20130121/1122b3fc/attachment-0006.jpg 
----------- следущая часть -----------
Вложение не в текстовом формате было извлечено…
Имя     : 3 лПОФТПМШ 16.01.2013.jpg
Тип     : image/jpeg
Размер  : 28719 байтов
Описание: отсутствует
Url     : http://weborto.net:8080/pipermail/ortho/attachments/20130121/1122b3fc/attachment-0007.jpg 
----------- следущая часть -----------
Вложение не в текстовом формате было извлечено…
Имя     : 4 бЛУИ?БМШОЩК 16.01.2013.jpg
Тип     : image/jpeg
Размер  : 24063 байтов
Описание: отсутствует
Url     : http://weborto.net:8080/pipermail/ortho/attachments/20130121/1122b3fc/attachment-0008.jpg 
----------- следущая часть -----------
Вложение не в текстовом формате было извлечено…
Имя     : 5 лф 16.01.2013.jpg
Тип     : image/jpeg
Размер  : 21123 байтов
Описание: отсутствует
Url     : http://weborto.net:8080/pipermail/ortho/attachments/20130121/1122b3fc/attachment-0009.jpg 


Подробная информация о списке рассылки Ortho