[Ortho] Помогите с тактикой лечения

Максим orthoforum на weborto.net
Пт Янв 25 08:39:05 YEKT 2013


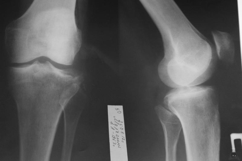
Пациентка М. 1963г.р. получила травму около 2 лет назад, лечилась в ЦРБ 
по месту жительства консервативно. Обратилась в нашу клинику, на момент 
осмотра имеется нестабильность сустава, боли в области сустава. 
Предполагается э/протезирование мыщелка б/берцовой кости, либо 
коррегирующая остеотомия. Помогите определиться с татикой лечения. Имеет 
ли место альтернативные методы лечения?
Максим


----------- следущая часть -----------
Вложение не в текстовом формате было извлечено…
Имя     : 001.jpg
Тип     : image/jpeg
Размер  : 37638 байтов
Описание: отсутствует
Url     : http://weborto.net:8080/pipermail/ortho/attachments/20130125/62dc6286/attachment-0001.jpg 


Подробная информация о списке рассылки Ortho