[Ortho] Ревизионное эндопротезирование т/б сустава.

Андрей Кияночкин orthoforum на weborto.net
Чт Июл 4 18:40:48 YEKST 2013


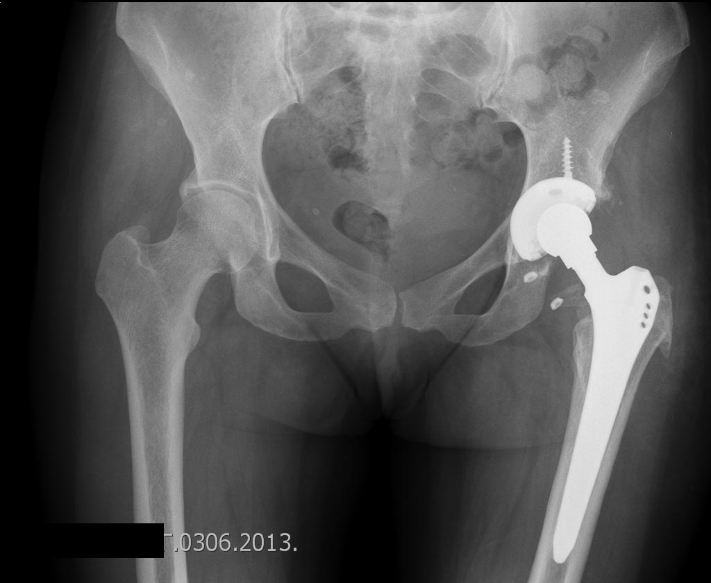
Да конечно чашка была нестабильна.Больная завтра идет домой,вот обзорная 
таза.
Андрей Кияночкин


----------- следущая часть -----------
Вложение не в текстовом формате было извлечено…
Имя     : фБЪ-фБЪ AP-04.07.2013-14_23_44-61.jpg
Тип     : image/jpeg
Размер  : 85190 байтов
Описание: отсутствует
Url     : http://weborto.net:8080/pipermail/ortho/attachments/20130704/4ccf13e4/attachment-0005.jpg 


Подробная информация о списке рассылки Ortho