[Ortho] стопа

Ivan orthoforum на weborto.net
Пт Июл 5 12:14:38 YEKST 2013


Доброго времени суток, дорогие коллеги. Представляю Вашему вниманию 
своего знакомого.
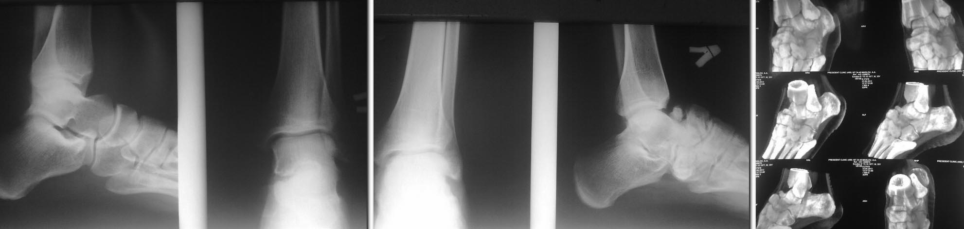
Парень 35 лет получил травму 20 лет назад при падении с высоты. Первая 
помощь оказана в одной районной больнице, отболело и забыл... Но 6 
месяцев назад пришлось вспомнить; постепенно начали беспокоить боли в 
области сустава Шопара после продолжительной нагрузки, периодически 
употребляет НПВС (2 раза в неделю). Итак вопрос: кто может помочь 
бедолаге? И у кого есть какие идеи решения данного вопроса. Всем спасибо!
Ivan

----------- следущая часть -----------
Вложение не в текстовом формате было извлечено…
Имя     : 2013-07-05_073937.jpg
Тип     : image/jpeg
Размер  : 75183 байтов
Описание: отсутствует
Url     : http://weborto.net:8080/pipermail/ortho/attachments/20130705/fb03d8c9/attachment-0001.jpg 


Подробная информация о списке рассылки Ortho