[Ortho] Ложный сустав голени и бедра

Шухрат orthoforum на weborto.net
Вс Июл 7 17:34:21 YEKST 2013


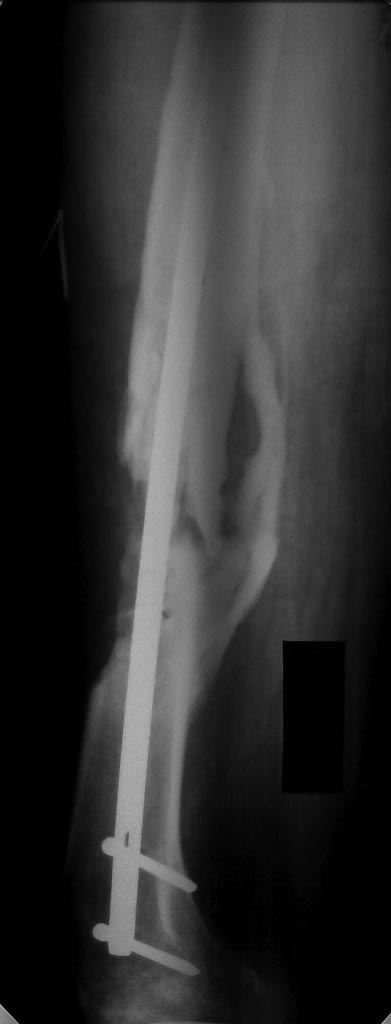
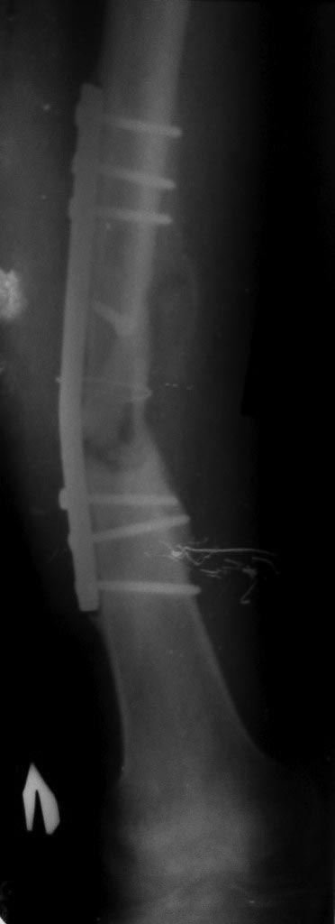
Уважаемые коллеги! Помогите определиться с тактикой лечения у молодого 
пациента.	
					
Доброго времени суток!
Молодой парень, 25лет. Травму получил в ноябре 2012 года, ДТП.Оперирован 
в сельской больнице, остеосинтез перелома бедренной кости пластиной и 
АВФ на голень с этой стороны, наложена гипсовая повязка коксит на 3 
месяца. В момент госпитализации разгибательная контрактура коленного 
сустава (движения в коленном суставе сгибание 10 градусов) 02.07.2013 
произведена операция - удаление металоконструкции с бедренной кости, 
костная аутопластика( из подвздошной кости) и БИОС бедренной кости 
универсальным гвоздем ChM. ЭОПа у нас нет, пользуемся переносным 
рентгенапаратом. Как быть с ложным суставом голени?
1. БИОС голени- оптимальный вариант,но при отсутствии желаемого сгибания 
в коленном суставе сможем ли мы сделать( Наш опыт - всего 30 операций по 
БИОСу)
2ЧКДО по Илизарову( после АВФ)
Снимки во вложении.За качество снимков заранее извиняюсь.
Буду рад Вашим предложениям.
Спасибо.
Шухрат

----------- следущая часть -----------
Вложение не в текстовом формате было извлечено…
Имя     : IMAG0104.jpg
Тип     : image/jpeg
Размер  : 32759 байтов
Описание: отсутствует
Url     : http://weborto.net:8080/pipermail/ortho/attachments/20130707/9889b729/attachment-0006.jpg 
----------- следущая часть -----------
Вложение не в текстовом формате было извлечено…
Имя     : IMAG0105.jpg
Тип     : image/jpeg
Размер  : 31312 байтов
Описание: отсутствует
Url     : http://weborto.net:8080/pipermail/ortho/attachments/20130707/9889b729/attachment-0007.jpg 
----------- следущая часть -----------
Вложение не в текстовом формате было извлечено…
Имя     : IMAG0106.jpg
Тип     : image/jpeg
Размер  : 41347 байтов
Описание: отсутствует
Url     : http://weborto.net:8080/pipermail/ortho/attachments/20130707/9889b729/attachment-0008.jpg 
----------- следущая часть -----------
Вложение не в текстовом формате было извлечено…
Имя     : IMAG0108.jpg
Тип     : image/jpeg
Размер  : 44095 байтов
Описание: отсутствует
Url     : http://weborto.net:8080/pipermail/ortho/attachments/20130707/9889b729/attachment-0009.jpg 
----------- следущая часть -----------
Вложение не в текстовом формате было извлечено…
Имя     : IMAG0109.jpg
Тип     : image/jpeg
Размер  : 34863 байтов
Описание: отсутствует
Url     : http://weborto.net:8080/pipermail/ortho/attachments/20130707/9889b729/attachment-0010.jpg 
----------- следущая часть -----------
Вложение не в текстовом формате было извлечено…
Имя     : IMAG0111.jpg
Тип     : image/jpeg
Размер  : 27063 байтов
Описание: отсутствует
Url     : http://weborto.net:8080/pipermail/ortho/attachments/20130707/9889b729/attachment-0011.jpg 


Подробная информация о списке рассылки Ortho