[Ortho] Остеомиелит бедренной кости?

Иван orthoforum на weborto.net
Пт Июл 19 00:29:10 YEKST 2013


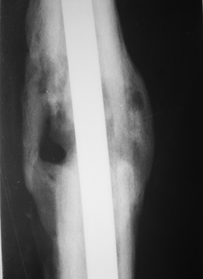
Пациент после БИОС бедренной кости.

Уважаемые коллеги, представляют на обсуждение клинический случай! 
Пациент 26 лет, около года назад получил травму в результате ДТП. По 
поводу перелома диафиза бедренной кости выполнялся БИОС. Заживление ран 
в области дистальных блокирующих винтов происходило вторичным 
натяжением, однако, в ходе местного лечения раны зажили. Спустя 4-5 мес. 
пациент обратился с болями в нижней трети бедра (проекция дистальных 
блок. винтов). При RG выявлена их миграция, выполнено их удаление. 
Спустя еще 4-5 мес обратился с жалобами на припухлость в
области дистального блокирования. В поликлинике сделали снимки и, с 
подозрением на остеомиелит, оправили в стационар. Сегодня: местно - без 
признаков инфекции. В области дистального блокирования припухлость 
плотно-эластичной консистенции. При пункции получить ничего не удалось. 
Лейкоциты 6,0; СОЭ - 22. СРБ-18. Температура в вечерние часы
37-37,2 Снимки представлены.
Какова дальнейшая тактика? 1. ничего не делать 2. Удалить
стержень + приливно-отливное дренирование.= 3. Удалить стержень +_ АБ 
спейсеры или АБ стержень 4. Удалить стержень + приливно-отливное 
дренирование, а затем Цементные АБ импланты.
Иван


----------- следущая часть -----------
Вложение не в текстовом формате было извлечено…
Имя     : 2013-07-18_220539-1.jpg
Тип     : image/jpeg
Размер  : 49074 байтов
Описание: отсутствует
Url     : http://weborto.net:8080/pipermail/ortho/attachments/20130718/faa97ac7/attachment-0012.jpg 
----------- следущая часть -----------
Вложение не в текстовом формате было извлечено…
Имя     : 2013-07-18_220539-2.jpg
Тип     : image/jpeg
Размер  : 38315 байтов
Описание: отсутствует
Url     : http://weborto.net:8080/pipermail/ortho/attachments/20130718/faa97ac7/attachment-0013.jpg 
----------- следущая часть -----------
Вложение не в текстовом формате было извлечено…
Имя     : 2013-07-18_220539-3.jpg
Тип     : image/jpeg
Размер  : 38914 байтов
Описание: отсутствует
Url     : http://weborto.net:8080/pipermail/ortho/attachments/20130718/faa97ac7/attachment-0014.jpg 
----------- следущая часть -----------
Вложение не в текстовом формате было извлечено…
Имя     : 2013-07-18_220539-4.jpg
Тип     : image/jpeg
Размер  : 92211 байтов
Описание: отсутствует
Url     : http://weborto.net:8080/pipermail/ortho/attachments/20130718/faa97ac7/attachment-0015.jpg 


Подробная информация о списке рассылки Ortho