[Ortho] Два протеза или .........?

Alexander Chelnokov orthoforum на weborto.net
Ср Июл 31 21:43:25 YEKST 2013


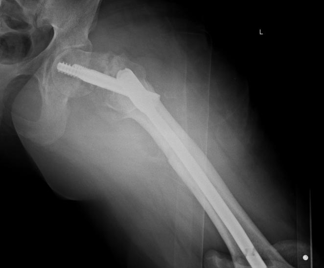
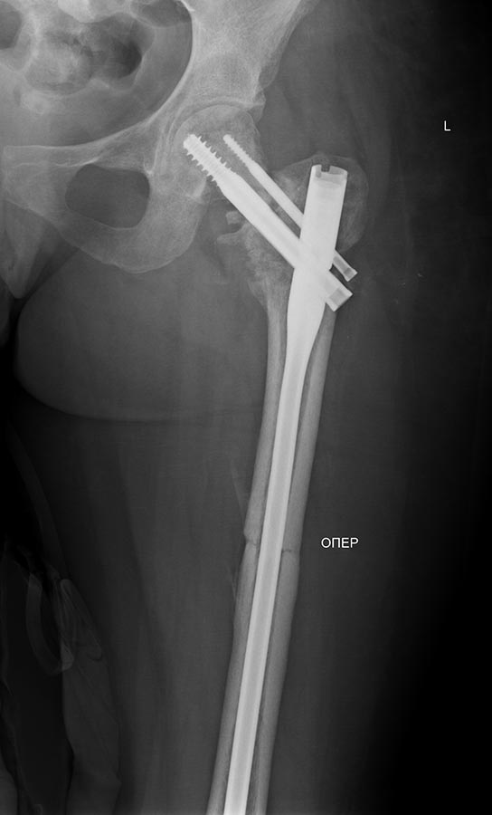
Продолжение истории, начало см.http://weborto.net/forum/1370513039/.

Сегодня сделали левое бедро. Сделана аналогичная чрескожная 
вальгизирующая остеотомия, закрытый интрамедуллярный остеосинтез 
Affixus.  Длинным, с учетом еще и бывшего диафизарного перелома. Были 
какие-то мысли насчет пластики дефекта шейки - решили воздержаться.
Alexander Chelnokov

----------- следущая часть -----------
Вложение не в текстовом формате было извлечено…
Имя     : 2.jpg
Тип     : image/jpeg
Размер  : 53940 байтов
Описание: отсутствует
Url     : http://weborto.net:8080/pipermail/ortho/attachments/20130731/1f76fd88/attachment-0004.jpg 
----------- следущая часть -----------
Вложение не в текстовом формате было извлечено…
Имя     : 3.jpg
Тип     : image/jpeg
Размер  : 44306 байтов
Описание: отсутствует
Url     : http://weborto.net:8080/pipermail/ortho/attachments/20130731/1f76fd88/attachment-0005.jpg 
----------- следущая часть -----------
Вложение не в текстовом формате было извлечено…
Имя     : 4.jpg
Тип     : image/jpeg
Размер  : 32647 байтов
Описание: отсутствует
Url     : http://weborto.net:8080/pipermail/ortho/attachments/20130731/1f76fd88/attachment-0006.jpg 
----------- следущая часть -----------
Вложение не в текстовом формате было извлечено…
Имя     : 0.jpg
Тип     : image/jpeg
Размер  : 80545 байтов
Описание: отсутствует
Url     : http://weborto.net:8080/pipermail/ortho/attachments/20130731/1f76fd88/attachment-0007.jpg 


Подробная информация о списке рассылки Ortho