[Ortho] . і

Djoldas Kuldjanov orthoforum weborto.net
4 01:13:02 YEKST 2013


Уважаемый Константин,

Не каждый имеет смелость признать свои ошибки публично, но ради пациента 
дискуссию надо продолжать. По непонятным причинам первичные авторы 
пропадают, возможно, теряется интерес, а вопрос остается. Был ли решен 
или до сих пор идут исследования? О добровольном участие на форум мы 
говорили, куда можно обратится за советом или можно уйти без 
предупреждения...

Возможно, к этому времени как решить проблему не интересует, но 
осложнение заинтересовало тех, кто занимается лечением сложных переломов 
плеча. Совместные разборы помогут разработать тактику избежания ошибок и 
дадут возможность посмотреть, что делается сегодня. Понятно, что везде 
разные материальные возможности, и каждый решает проблему сам, но 
создание мобильности в лечении суставных переломов остается в силе.

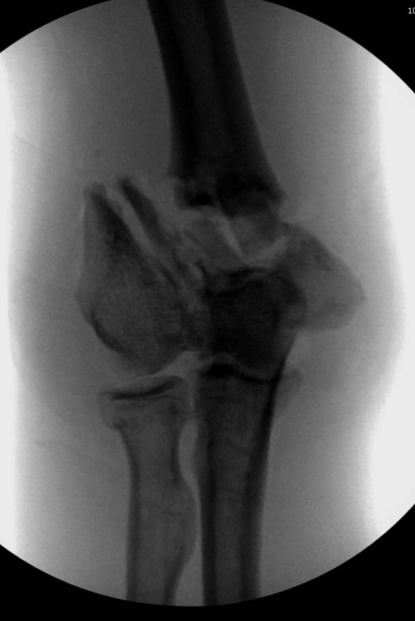
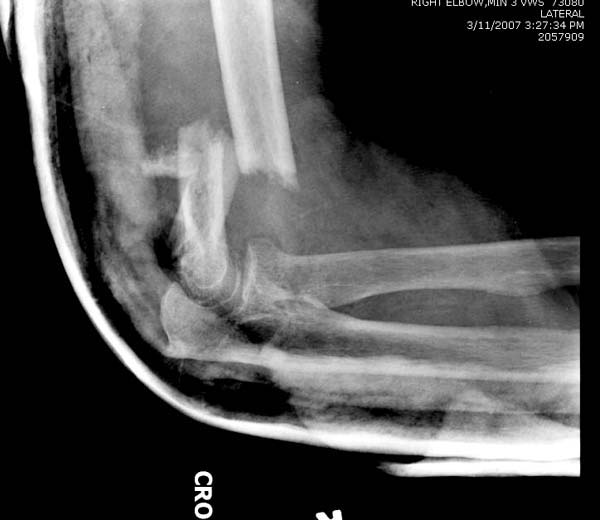
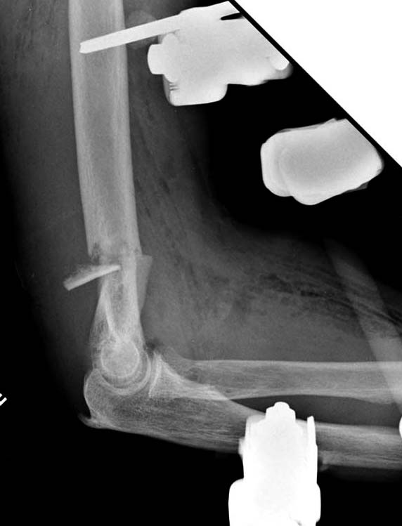
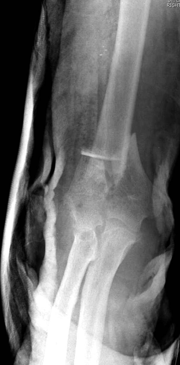
Из представленнего материала видно, что между снимками нет разницы. 
Отсутствует репозиция не только медиального, а также латерального 
мыщелка. На боковом снимке мыщелок расположен спереди, а прямом головка 
луча упирается в край мыщелка, что означает ротацию. Отсутствует 
компрессия между мыщелками, а один шуруп не смог удержать медиальную 
сторону, которая при первом же движении рассыпалось.

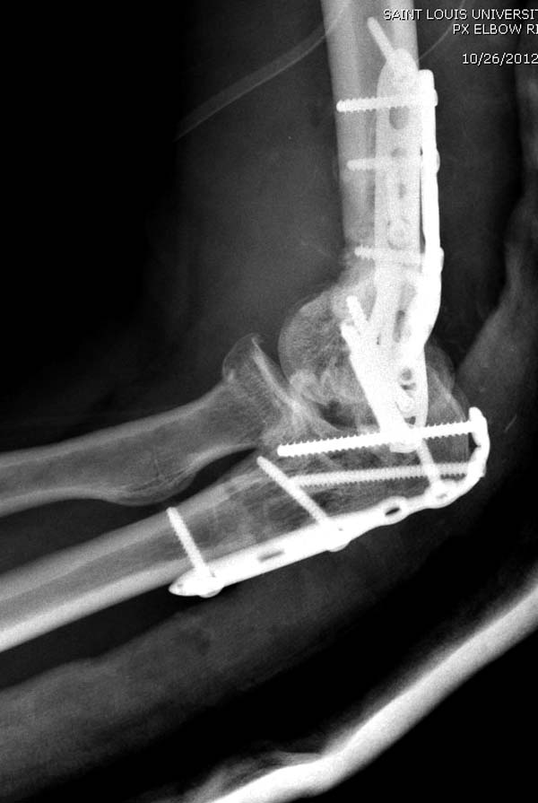
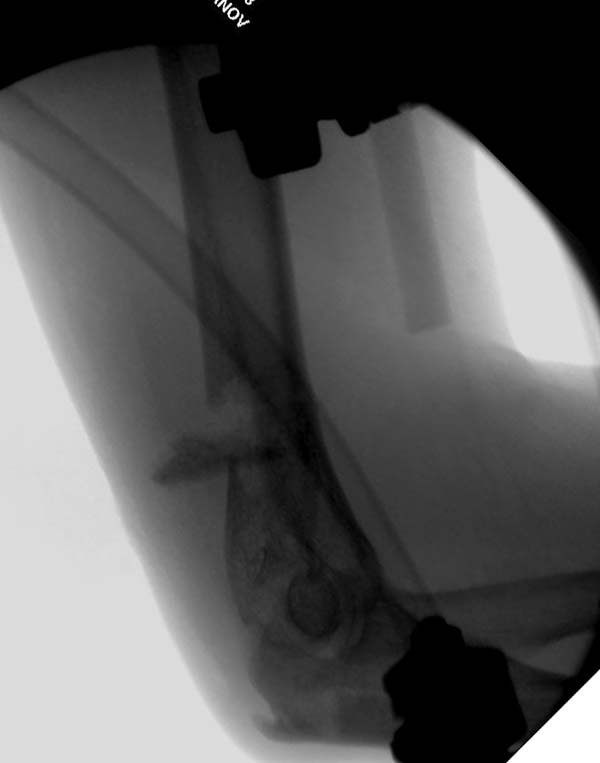
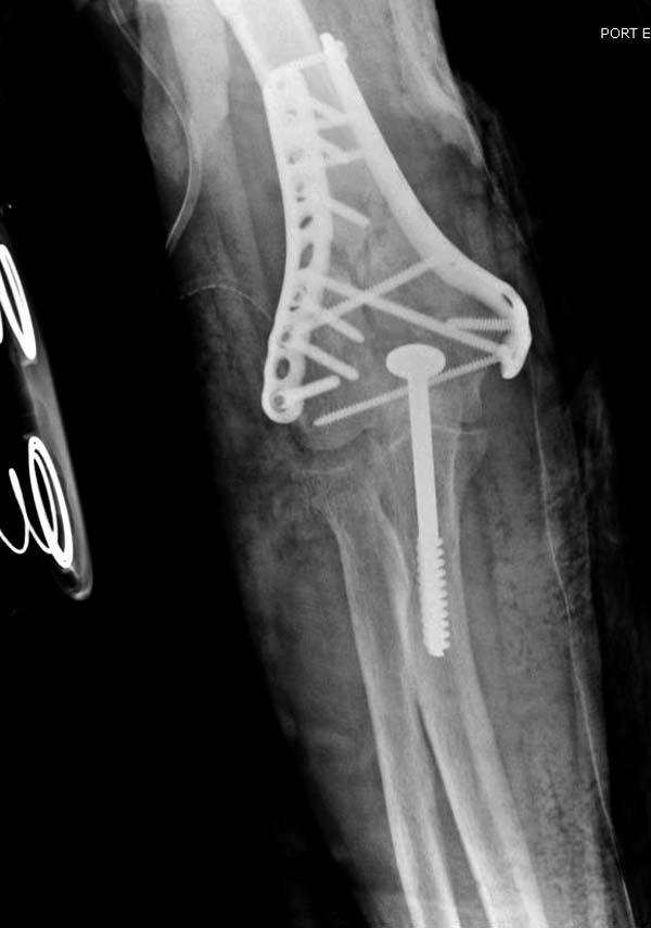
Ошибка в фиксации привела к дополнительным проблемам, теперь, кроме 
плеча, надо заниматься с локтевым отростком и невритом. Доступ обычно из 
двух сторон мышцы трицепса, но некоторым внутрисуставным переломам 
визуализацию можно создать за счет остеотомии локтевого отростка и как 
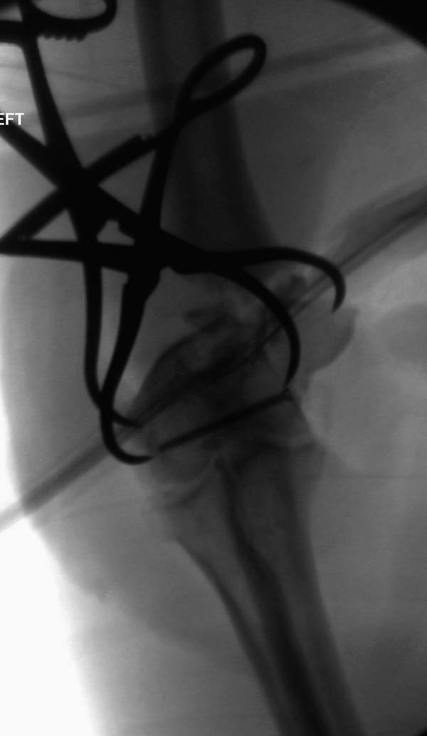
дружно заявили, что фиксацию заканчивает только по Веберу.

Техники Вебера популярная, особенно, где имеется лимит ресурсов, т.е 
минимальный имплантат и максимум бенефит. Кроме положительного имеется 
отрицательные моменты, концы проволоки или спицы становятся проблемой. 
Проблемы в основном возникают с изогнутым концом спиц или проволоки 
после спадения отека. Бывали жалобы даже при отсутствии боли, при виде 
разорванной проволоки под кожей больному казалось что то“ужасное”. Дело 
не в механической слабости, а мягкотканые осложнения привели к тому, что 
многие центры (больше 10 лет) постепенно стали переходить к фиксации 
шурупами или пластиной.

Открытая репозиция дистального плеча всегда сложная и длительная 
процедура. После операции для фиксации локтевого отростка остается очень 
мало времени, кроме этого усталость хирурга также влияет на качество 
репозиции. Остаются неправильно согнутые концы спиц!

Потом книге Principles of Fracture Management, где показаны этапы 
фиксации, больше 13 лет, и за это время произошло многое. Изменилось 
понимание механики дистального отдела плеча и важность мягких тканей 
вокруг локтевого отростка.

Технология не стоит на одном месте, и вместо спиц пришли менее 
раздражающие преконтурные пластины. Их можно уложить перед остеотомией, 
затем удаляют и сохраняют до конца операции вместе с шурупами. По 
окончании операции пластина укладывается на готовые дырки.

Прежде популярная фиксация шурупом сегодня уходит на второй план, хотя 
установку можно облегчить засчет предварительного проведения на всю 
длину до остеотомии. Обычный метчик и вместо 4.5 мм, более толстые 6.5 
мм. Мелькие шурупы, попадая в центр канала, не удерживает ничего!

Разработаны различные концепции установки пластин на дистальное плечо: 
две параллельные в 180 или под углом в 90 градусов. Почти все компании 
имеют все варианты пластинок, а Acumed признает так называемую Keystone 
concept  http://www.acumed.net/distal-humerus-plates

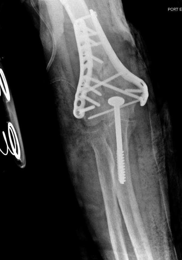
Для сохранения хряща пересмотрен вопрос линии остеотомии, вместе 
внутрисуставных делаются внесуставные.

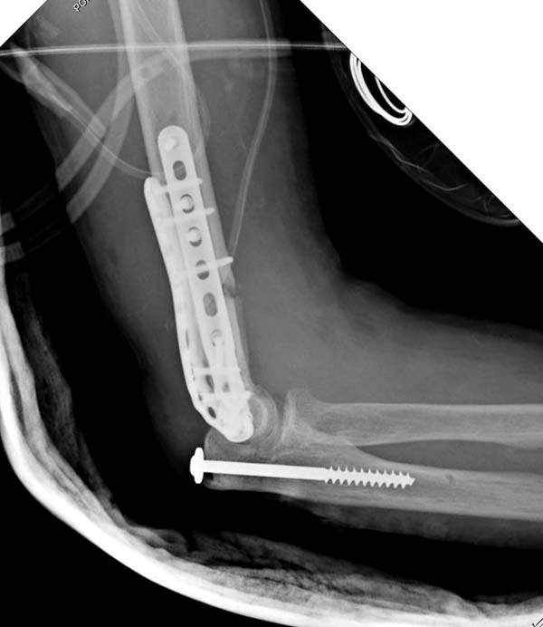
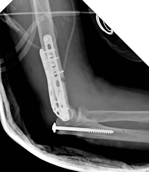
В данном случае надо делать ревизию. Среди остальных осложнении ложный 
сустав локтевого отростка лечить легко, фиксация пластиной и костный 
графт. Здесь в первую очередь надо создать конгруентость локтевого 
сустава и вместо толстых шурупов взять тонкие 2.5-3.5 мм. Это как раз 
случай, когда качество работы зависит не только от опыта хирурга, а и от 
наличия современного материала по рукой.

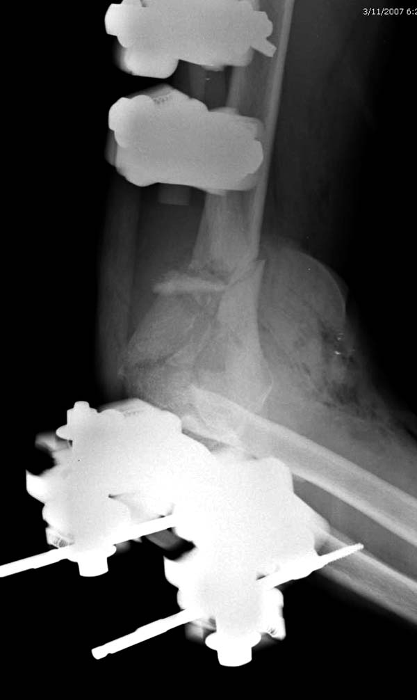
Примеры: первому более 15 лет фиксирован шурупом и tension band 
technique, а второй перелом открытый больной 80 лет, после наружного 
фиксатора в первом этапе и окончательная фиксация вторично. Третьий раз 
внесуставная остеотомия...

   <http://weborto.net/forum/pics/2013/06/0401> 
<http://weborto.net/forum/pics/2013/06/0402> 
<http://weborto.net/forum/pics/2013/06/0403> 
<http://weborto.net/forum/pics/2013/06/0404> 
<http://weborto.net/forum/pics/2013/06/0405> 
<http://weborto.net/forum/pics/2013/06/0406> 
<http://weborto.net/forum/pics/2013/06/0407> 
<http://weborto.net/forum/pics/2013/06/0408> 
<http://weborto.net/forum/pics/2013/06/0409> 
<http://weborto.net/forum/pics/2013/06/0410> 
<http://weborto.net/forum/pics/2013/06/0411> 
<http://weborto.net/forum/pics/2013/06/0412> 
<http://weborto.net/forum/pics/2013/06/0413> 
<http://weborto.net/forum/pics/2013/06/0414>

   <http://weborto.net/forum/pics/2013/06/0415> 
<http://weborto.net/forum/pics/2013/06/0416> 
<http://weborto.net/forum/pics/2013/06/0417> 
<http://weborto.net/forum/pics/2013/06/0418> 
<http://weborto.net/forum/pics/2013/06/0419> 
<http://weborto.net/forum/pics/2013/06/0420> 
<http://weborto.net/forum/pics/2013/06/0421> 
<http://weborto.net/forum/pics/2013/06/0422> 
<http://weborto.net/forum/pics/2013/06/0423> 
<http://weborto.net/forum/pics/2013/06/0424>

Еще просьба, коллегам которые предлагают аппаратное лечение, не могли ли 
показать примеры, а то забыл, как выглядит? Ссылка на классиков 
доказывают о знакомстве с современнным состоянием ортопедии, но не 
возможно передать переживание автора. Желательно комментарии сопроводить 
примерами из практики, тогда будет намного интересней, чем сухая ссылка...



С уважением,
Джолдас Кульджанов

-----------   -----------
Вложение не в текстовом формате было извлечено&hellip;
Имя     : 1-1 old humerus distal.jpg
Тип     : image/jpeg
Размер  : 50262 байтов
Описание: отсутствует
Url     : http://weborto.net:8080/pipermail/ortho/attachments/20130604/c45a379f/attachment-0019.jpg 
-----------   -----------
Вложение не в текстовом формате было извлечено&hellip;
Имя     : 1-2 old humerus distal.JPG
Тип     : image/jpeg
Размер  : 48833 байтов
Описание: отсутствует
Url     : http://weborto.net:8080/pipermail/ortho/attachments/20130604/c45a379f/attachment-0005.jpeg 
-----------   -----------
Вложение не в текстовом формате было извлечено&hellip;
Имя     : 1-3 old humerus distal.JPG
Тип     : image/jpeg
Размер  : 31506 байтов
Описание: отсутствует
Url     : http://weborto.net:8080/pipermail/ortho/attachments/20130604/c45a379f/attachment-0006.jpeg 
-----------   -----------
Вложение не в текстовом формате было извлечено&hellip;
Имя     : 2-1 Distal Humerus.jpg
Тип     : image/jpeg
Размер  : 66695 байтов
Описание: отсутствует
Url     : http://weborto.net:8080/pipermail/ortho/attachments/20130604/c45a379f/attachment-0020.jpg 
-----------   -----------
Вложение не в текстовом формате было извлечено&hellip;
Имя     : 2-2 Distal Humerus.jpg
Тип     : image/jpeg
Размер  : 43412 байтов
Описание: отсутствует
Url     : http://weborto.net:8080/pipermail/ortho/attachments/20130604/c45a379f/attachment-0021.jpg 
-----------   -----------
Вложение не в текстовом формате было извлечено&hellip;
Имя     : 2-3 Distal Humerus exfix lat 2.jpg
Тип     : image/jpeg
Размер  : 43897 байтов
Описание: отсутствует
Url     : http://weborto.net:8080/pipermail/ortho/attachments/20130604/c45a379f/attachment-0022.jpg 
-----------   -----------
Вложение не в текстовом формате было извлечено&hellip;
Имя     : 2-4 Distal Humerus exfix ap.jpg
Тип     : image/jpeg
Размер  : 46465 байтов
Описание: отсутствует
Url     : http://weborto.net:8080/pipermail/ortho/attachments/20130604/c45a379f/attachment-0023.jpg 
-----------   -----------
Вложение не в текстовом формате было извлечено&hellip;
Имя     : 2-5 Distal Humerus CRM.JPG
Тип     : image/jpeg
Размер  : 30977 байтов
Описание: отсутствует
Url     : http://weborto.net:8080/pipermail/ortho/attachments/20130604/c45a379f/attachment-0007.jpeg 
-----------   -----------
Вложение не в текстовом формате было извлечено&hellip;
Имя     : 2-6 Distal Humerus CRM.JPG
Тип     : image/jpeg
Размер  : 29363 байтов
Описание: отсутствует
Url     : http://weborto.net:8080/pipermail/ortho/attachments/20130604/c45a379f/attachment-0008.jpeg 
-----------   -----------
Вложение не в текстовом формате было извлечено&hellip;
Имя     : 2-7 Distal Humerus CRM.JPG
Тип     : image/jpeg
Размер  : 38461 байтов
Описание: отсутствует
Url     : http://weborto.net:8080/pipermail/ortho/attachments/20130604/c45a379f/attachment-0009.jpeg 
-----------   -----------
Вложение не в текстовом формате было извлечено&hellip;
Имя     : 2-8 Distal Humerus CRM.jpg
Тип     : image/jpeg
Размер  : 28994 байтов
Описание: отсутствует
Url     : http://weborto.net:8080/pipermail/ortho/attachments/20130604/c45a379f/attachment-0024.jpg 
-----------   -----------
Вложение не в текстовом формате было извлечено&hellip;
Имя     : 2-9 Distal Humerus.jpg
Тип     : image/jpeg
Размер  : 46906 байтов
Описание: отсутствует
Url     : http://weborto.net:8080/pipermail/ortho/attachments/20130604/c45a379f/attachment-0025.jpg 
-----------   -----------
Вложение не в текстовом формате было извлечено&hellip;
Имя     : 2-10 Distal Humerus.jpg
Тип     : image/jpeg
Размер  : 49000 байтов
Описание: отсутствует
Url     : http://weborto.net:8080/pipermail/ortho/attachments/20130604/c45a379f/attachment-0026.jpg 
-----------   -----------
Вложение не в текстовом формате было извлечено&hellip;
Имя     : 3-1 Humerus prox distal.jpg
Тип     : image/jpeg
Размер  : 41125 байтов
Описание: отсутствует
Url     : http://weborto.net:8080/pipermail/ortho/attachments/20130604/c45a379f/attachment-0027.jpg 
-----------   -----------
Вложение не в текстовом формате было извлечено&hellip;
Имя     : 3-2 Humerus prox distal exfix.jpg
Тип     : image/jpeg
Размер  : 43483 байтов
Описание: отсутствует
Url     : http://weborto.net:8080/pipermail/ortho/attachments/20130604/c45a379f/attachment-0028.jpg 
-----------   -----------
Вложение не в текстовом формате было извлечено&hellip;
Имя     : 3-3 Humerus prox distal exfix.jpg
Тип     : image/jpeg
Размер  : 36395 байтов
Описание: отсутствует
Url     : http://weborto.net:8080/pipermail/ortho/attachments/20130604/c45a379f/attachment-0029.jpg 
-----------   -----------
Вложение не в текстовом формате было извлечено&hellip;
Имя     : 3-6 Humerus prox distal.jpg
Тип     : image/jpeg
Размер  : 37033 байтов
Описание: отсутствует
Url     : http://weborto.net:8080/pipermail/ortho/attachments/20130604/c45a379f/attachment-0030.jpg 
-----------   -----------
Вложение не в текстовом формате было извлечено&hellip;
Имя     : 3-7 Humerus prox distal.jpg
Тип     : image/jpeg
Размер  : 33844 байтов
Описание: отсутствует
Url     : http://weborto.net:8080/pipermail/ortho/attachments/20130604/c45a379f/attachment-0031.jpg 
-----------   -----------
Вложение не в текстовом формате было извлечено&hellip;
Имя     : 3-8 Humerus prox distal.jpg
Тип     : image/jpeg
Размер  : 44389 байтов
Описание: отсутствует
Url     : http://weborto.net:8080/pipermail/ortho/attachments/20130604/c45a379f/attachment-0032.jpg 
-----------   -----------
Вложение не в текстовом формате было извлечено&hellip;
Имя     : 3-9 Humerus prox distal.jpg
Тип     : image/jpeg
Размер  : 39181 байтов
Описание: отсутствует
Url     : http://weborto.net:8080/pipermail/ortho/attachments/20130604/c45a379f/attachment-0033.jpg 
-----------   -----------
Вложение не в текстовом формате было извлечено&hellip;
Имя     : 3-10 Humerus prox distal.jpg
Тип     : image/jpeg
Размер  : 45816 байтов
Описание: отсутствует
Url     : http://weborto.net:8080/pipermail/ortho/attachments/20130604/c45a379f/attachment-0034.jpg 
-----------   -----------
Вложение не в текстовом формате было извлечено&hellip;
Имя     : 3-11Humerus prox distal.jpg
Тип     : image/jpeg
Размер  : 35804 байтов
Описание: отсутствует
Url     : http://weborto.net:8080/pipermail/ortho/attachments/20130604/c45a379f/attachment-0035.jpg 
-----------   -----------
Вложение не в текстовом формате было извлечено&hellip;
Имя     : 13 Humerus prox distal.jpg
Тип     : image/jpeg
Размер  : 58399 байтов
Описание: отсутствует
Url     : http://weborto.net:8080/pipermail/ortho/attachments/20130604/c45a379f/attachment-0036.jpg 
-----------   -----------
Вложение не в текстовом формате было извлечено&hellip;
Имя     : 14 Humerus prox distal.jpg
Тип     : image/jpeg
Размер  : 37588 байтов
Описание: отсутствует
Url     : http://weborto.net:8080/pipermail/ortho/attachments/20130604/c45a379f/attachment-0037.jpg 


Ortho