[Ortho]

��������� alex61 gmail.com
5 18:54:16 YEKST 2013


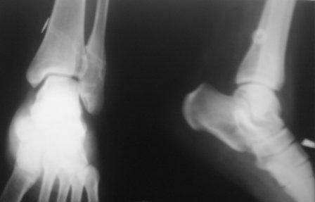
    Обратилась  К.19 лет. Со слов матери 10-12 лет назад получила 
перелом лодыжек, лечилась консервативно, ч-з год повторно получила 
травму г/стопного сустава, лечилась консервативно. С тех пор беспокоят 
периодические боли, отеки, слегка прихрамивает. Неоднократно лечились 
амб и стац, в разных отделениях. 1,5 год назад в одной б-це произведена 
операция фиксация дистального м/б синдесмоза болт -стяжкой , и через год 
  удалена   м/конструкция  и  вся клиника повторилось. Девочка 
упитанная, . Мне кажется  у б-ной был чрезсиндесмозный  оскольчатый 
перелом м/б кости с разрывом переднего отд.синдесмоза, (44В1.3). 
неправильное сращение и укорочение м/б кости, или даже с поворотом. , за 
счет этого хр.неустойчивость дистального межберцового синдесмоза. И к 
тому болт–стяжка проведена  неправильно,с нарушением техники и результат- 0.
Предварительно думаем: косая надсиндесмозная остеотомия м/б кости, 
удлинение и адаптация мед.суставной поверхности наружной лодыжки, 
фиксация 1/3 трубчатой пластиной, ревизия  дистального синдесмоза, 
возможно пластика синдесмоза(пока незнаю чем) , и две позиционного 
винта, или болт–стяжка.  Еще будем глубже заниматься, КТ не работает, 
МРТ  есть.
    Уважаемые коллеги помогите советом, предчувствую и критику.
   С уважением Абдурашид.


-----------   -----------
Вложение не в текстовом формате было извлечено…
Имя     : 2013-06-04-724 - ЛПРИ?С.jpg
Тип     : image/jpeg
Размер  : 20007 байтов
Описание: отсутствует
Url     : http://weborto.net:8080/pipermail/ortho/attachments/20130605/0684667d/attachment-0004.jpg 
-----------   -----------
Вложение не в текстовом формате было извлечено…
Имя     : 2013-06-04-725 - ЛПРИ?С.jpg
Тип     : image/jpeg
Размер  : 21120 байтов
Описание: отсутствует
Url     : http://weborto.net:8080/pipermail/ortho/attachments/20130605/0684667d/attachment-0005.jpg 
-----------   -----------
Вложение не в текстовом формате было извлечено…
Имя     : 2013-06-04-726 - ЛПРИ?С.jpg
Тип     : image/jpeg
Размер  : 29147 байтов
Описание: отсутствует
Url     : http://weborto.net:8080/pipermail/ortho/attachments/20130605/0684667d/attachment-0006.jpg 
-----------   -----------
Вложение не в текстовом формате было извлечено…
Имя     : 2013-06-04-728 - ЛПРИ?С.jpg
Тип     : image/jpeg
Размер  : 31754 байтов
Описание: отсутствует
Url     : http://weborto.net:8080/pipermail/ortho/attachments/20130605/0684667d/attachment-0007.jpg 


Ortho