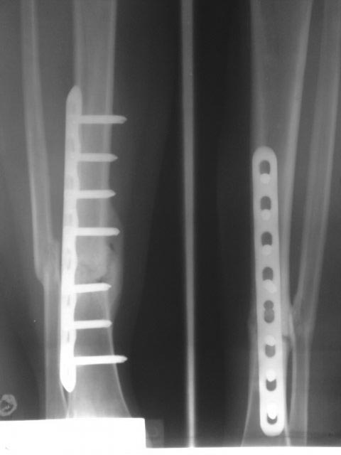
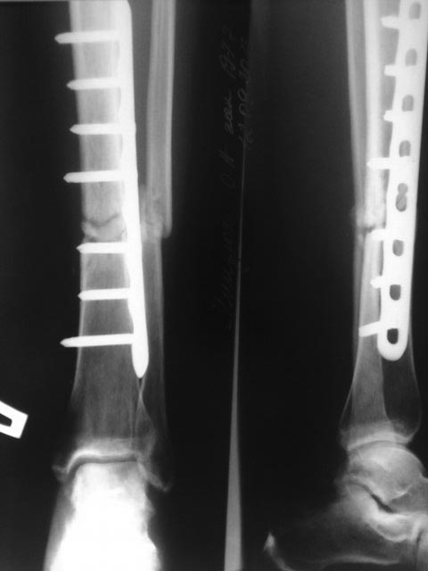
[Ortho] Ложный сустав или консолидация

���� alex61 на gmail.com
Вт Июн 4 14:54:01 YEKST 2013


Рентгенограммы

Олег

----------- следущая часть -----------
Вложение не в текстовом формате было извлечено…
Имя     : 0cd8f0ea93.jpg
Тип     : image/jpeg
Размер  : 51201 байтов
Описание: отсутствует
Url     : http://weborto.net:8080/pipermail/ortho/attachments/20130604/ca5b1daf/attachment-0004.jpg 
----------- следущая часть -----------
Вложение не в текстовом формате было извлечено…
Имя     : 5252b3dfd1.jpg
Тип     : image/jpeg
Размер  : 63531 байтов
Описание: отсутствует
Url     : http://weborto.net:8080/pipermail/ortho/attachments/20130604/ca5b1daf/attachment-0005.jpg 
----------- следущая часть -----------
Вложение не в текстовом формате было извлечено…
Имя     : c510b89e62.jpg
Тип     : image/jpeg
Размер  : 34897 байтов
Описание: отсутствует
Url     : http://weborto.net:8080/pipermail/ortho/attachments/20130604/ca5b1daf/attachment-0006.jpg 
----------- следущая часть -----------
Вложение не в текстовом формате было извлечено…
Имя     : d11f0b1eea.jpg
Тип     : image/jpeg
Размер  : 30699 байтов
Описание: отсутствует
Url     : http://weborto.net:8080/pipermail/ortho/attachments/20130604/ca5b1daf/attachment-0007.jpg 


Подробная информация о списке рассылки Ortho