[Ortho] Патологический перелом плечевой кости

��������� �������� alex61 на gmail.com
Ср Июн 5 15:27:21 YEKST 2013


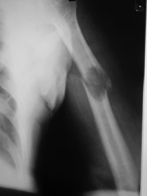
Уважаемые коллеги! Прошу высказать свое мнение по-поводу лечения 
патологического перелома правой плечевой кости.
Больной 67 лет поступил в нашу РБ через два дня после травмы (падение с 
дерева). В настоящий момент проходит обследование. Какую тактику 
оперативного лечения вы посоветуете?
Александр Белоконь


----------- следущая часть -----------
Вложение не в текстовом формате было извлечено…
Имя     : IMG_2376.jpg
Тип     : image/jpeg
Размер  : 34690 байтов
Описание: отсутствует
Url     : http://weborto.net:8080/pipermail/ortho/attachments/20130605/8eb97d52/attachment-0001.jpg 


Подробная информация о списке рассылки Ortho