[Ortho] Последствие повреждений дистального межберцового синдесмоза

"Абдурашид" alex61 на gmail.com
Пт Июн 7 02:20:08 YEKST 2013


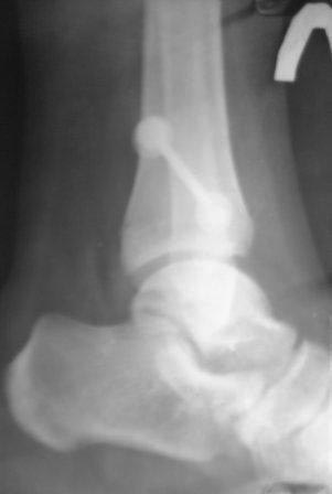
 Нашлись еще снимки, сразу после операции и через год после операции, но снимков до операции не нашли.
Абдурашид
----------- следущая часть -----------
Вложение в формате HTML было извлечено…
URL: http://weborto.net:8080/pipermail/ortho/attachments/20130606/2dda796c/attachment-0001.htm 
----------- следущая часть -----------
Вложение не в текстовом формате было извлечено…
Имя     : 2013-06-05-731 - ЛПРЙС.jpg
Тип     : image/jpg
Размер  : 20642 байтов
Описание: отсутствует
Url     : http://weborto.net:8080/pipermail/ortho/attachments/20130606/2dda796c/attachment-0002.jpg 
----------- следущая часть -----------
Вложение не в текстовом формате было извлечено…
Имя     : 2013-06-05-732 - ЛПРЙС.jpg
Тип     : image/jpg
Размер  : 23651 байтов
Описание: отсутствует
Url     : http://weborto.net:8080/pipermail/ortho/attachments/20130606/2dda796c/attachment-0003.jpg 


Подробная информация о списке рассылки Ortho