[Ortho] Два протеза или .........?

Alexander Chelnokov alex61mobile на mail.ru
Пт Июн 7 02:05:52 YEKST 2013


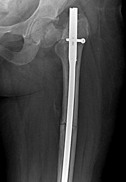
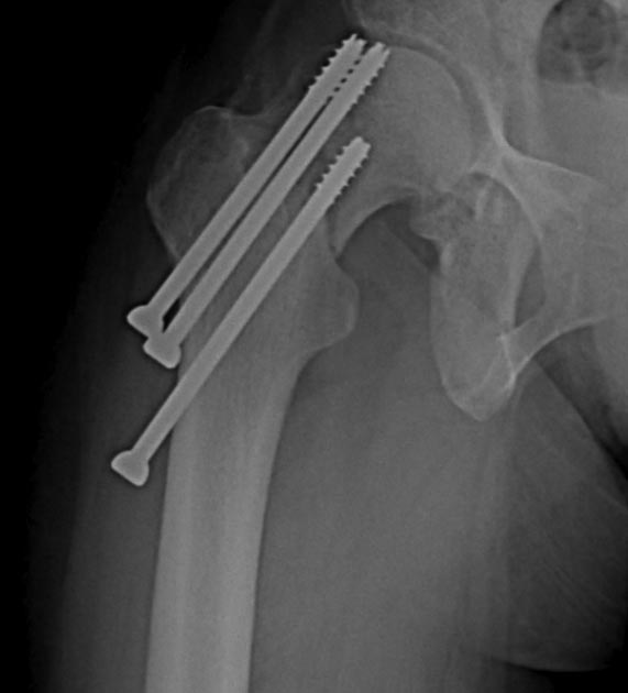
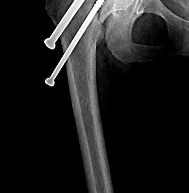
Две несросшихся шейки бедра, пацинтка 27 лет, травме 5 месяцев	
			
Травма 5 месяцев назад кататрвма.
БИОС плеча, Чкдо на л/запястный сустав, Биос левого бедра, Мос правой шейки бедра винтами.

Причина обращения -выявленный ложный сустав шейки левого бедра. При дообследовании выявлен несросшийся перелом шейки бедра на винтах.
Опороспособность обеих н/конечностей резко снижена, может стоять на правой, передвигается на каляске.Что думаем: слева однозначно протез, но бедро не срослось, менять гвоздь на пластину, пластина или которкая, или опасность конфликта с ножкой протеза, можно подождать консолидации и разбираться с правой конечностью.Справа остесинтез с коррегирующей остеотомией, но смущает состояние верхнего полюса после миграции винтов, что может повлечь протезирование на фоне нарушения анатомии проксимального бедра, что не хорошо для выживаемости протеза у 27 летней пациентки. Может сразу протез ?КТ головки не информативна из-за винтов
Советы сообщество не только приветсвуются, но и крайне необходимы,с чем к Вам и обращаемся!

с уважением В. Машталов

----------- следущая часть -----------
Вложение в формате HTML было извлечено…
URL: http://weborto.net:8080/pipermail/ortho/attachments/20130606/848345e1/attachment-0001.htm 
----------- следущая часть -----------
Вложение не в текстовом формате было извлечено…
Имя     : 176943_0.jpg
Тип     : image/jpg
Размер  : 41032 байтов
Описание: отсутствует
Url     : http://weborto.net:8080/pipermail/ortho/attachments/20130606/848345e1/attachment-0004.jpg 
----------- следущая часть -----------
Вложение не в текстовом формате было извлечено…
Имя     : 176942_0.jpg
Тип     : image/jpg
Размер  : 39849 байтов
Описание: отсутствует
Url     : http://weborto.net:8080/pipermail/ortho/attachments/20130606/848345e1/attachment-0005.jpg 
----------- следущая часть -----------
Вложение не в текстовом формате было извлечено…
Имя     : 184430_0.jpg
Тип     : image/jpg
Размер  : 46347 байтов
Описание: отсутствует
Url     : http://weborto.net:8080/pipermail/ortho/attachments/20130606/848345e1/attachment-0006.jpg 
----------- следущая часть -----------
Вложение не в текстовом формате было извлечено…
Имя     : 184431_0.jpg
Тип     : image/jpg
Размер  : 37140 байтов
Описание: отсутствует
Url     : http://weborto.net:8080/pipermail/ortho/attachments/20130606/848345e1/attachment-0007.jpg 


Подробная информация о списке рассылки Ortho