[Ortho] Два протеза или .........?

Michael Berenstein dr_mbern на bezeqint.net
Ср Июн 12 00:33:14 YEKST 2013


На шейке с шурупами понятно остеотомия и фиксатор с угловой стабильностью, а
слева надо бы определится что с головкой 

, живая или нет. Я бы сделал изотопное сканирование с технецием BONE SCAN.

М. Беренштейн 

 

 

 

From: ortho-bounces на weborto.net [mailto:ortho-bounces на weborto.net] On Behalf
Of "? ????????"
Sent: Thursday, June 06, 2013 11:13 PM
To: alex на weborto.net
Subject: [Ortho] Два протеза или .........?

 


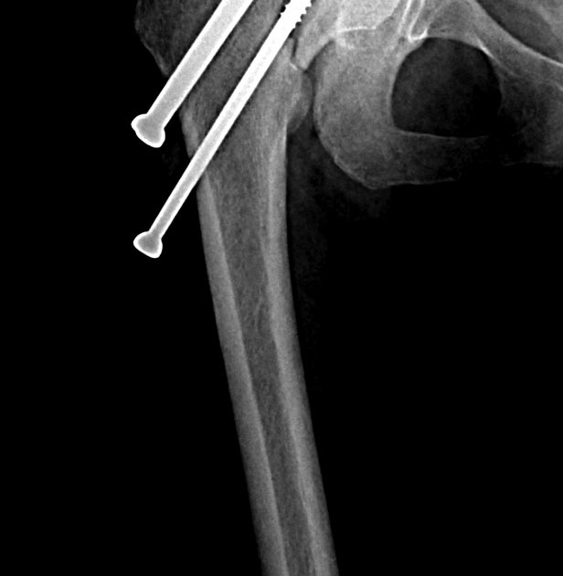
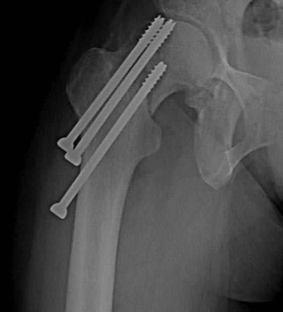
Две несросшихся шейки бедра, пацинтка 27 лет, травме 5 месяцев      
                                    
Травма 5 месяцев назад кататрвма.
БИОС плеча, Чкдо на л/запястный сустав, Биос левого бедра, Мос правой шейки
бедра винтами.

Причина обращения -выявленный ложный сустав шейки левого бедра. При
дообследовании выявлен несросшийся перелом шейки бедра на винтах.
Опороспособность обеих н/конечностей резко снижена, может стоять на правой,
передвигается на каляске.Что думаем: слева однозначно протез, но бедро не
срослось, менять гвоздь на пластину, пластина или которкая, или опасность
конфликта с ножкой протеза, можно подождать консолидации и разбираться с
правой конечностью.Справа остесинтез с коррегирующей остеотомией, но смущает
состояние верхнего полюса после миграции винтов, что может повлечь
протезирование на фоне нарушения анатомии проксимального бедра, что не
хорошо для выживаемости протеза у 27 летней пациентки. Может сразу протез
?КТ головки не информативна из-за винтов
Советы сообщество не только приветсвуются, но и крайне необходимы,с чем к
Вам и обращаемся!

с уважением В. Машталов
ГБСМП Ростов-на-Дону


----------- следущая часть -----------
Вложение в формате HTML было извлечено…
URL: http://weborto.net:8080/pipermail/ortho/attachments/20130611/4aab86dc/attachment-0001.htm 
----------- следущая часть -----------
Вложение не в текстовом формате было извлечено…
Имя     : отсутствует
Тип     : image/jpeg
Размер  : 41032 байтов
Описание: отсутствует
Url     : http://weborto.net:8080/pipermail/ortho/attachments/20130611/4aab86dc/attachment-0004.jpeg 
----------- следущая часть -----------
Вложение не в текстовом формате было извлечено…
Имя     : отсутствует
Тип     : image/jpeg
Размер  : 39849 байтов
Описание: отсутствует
Url     : http://weborto.net:8080/pipermail/ortho/attachments/20130611/4aab86dc/attachment-0005.jpeg 
----------- следущая часть -----------
Вложение не в текстовом формате было извлечено…
Имя     : отсутствует
Тип     : image/jpeg
Размер  : 46347 байтов
Описание: отсутствует
Url     : http://weborto.net:8080/pipermail/ortho/attachments/20130611/4aab86dc/attachment-0006.jpeg 
----------- следущая часть -----------
Вложение не в текстовом формате было извлечено…
Имя     : отсутствует
Тип     : image/jpeg
Размер  : 37140 байтов
Описание: отсутствует
Url     : http://weborto.net:8080/pipermail/ortho/attachments/20130611/4aab86dc/attachment-0007.jpeg 


Подробная информация о списке рассылки Ortho